Description
Angpt2 Antibody (PACO33756)
The ANGPT2 Polyclonal Antibody (PACO33756) is a valuable tool for researchers studying angiopoietin-2 (ANGPT2), a protein involved in angiogenesis and vascular inflammation. This antibody, generated in rabbits, exhibits high specificity and sensitivity for detection of ANGPT2 in human samples, making it well-suited for use in various research applications such as Western blotting.ANGPT2 is known to play a key role in vascular biology, specifically in regulating blood vessel formation and permeability. Dysregulation of ANGPT2 expression has been implicated in a variety of pathological conditions, including cancer, cardiovascular diseases, and inflammatory disorders.
By targeting ANGPT2 with this antibody, researchers can gain insights into the molecular mechanisms underlying these diseases and potentially identify new therapeutic strategies.Researchers conducting studies in the fields of cancer biology, vascular biology, and inflammation will find the ANGPT2 Polyclonal Antibody to be a valuable asset in their research endeavors. Its ability to specifically detect ANGPT2 protein in human samples provides a reliable tool for exploring the role of this protein in various disease states and furthering our understanding of angiogenesis and vascular dysfunction.
| Antibody Name: | Angpt2 Antibody (PACO33756) |
| Antibody SKU: | PACO33756 |
| Size: | 50ug |
| Host Species: | Rabbit |
| Tested Applications: | ELISA, WB, IHC |
| Recommended Dilutions: | ELISA:1:2000-1:10000, WB:1:1000-1:5000, IHC:1:20-1:200 |
| Species Reactivity: | Mouse |
| Immunogen: | Recombinant Mouse Angiopoietin-2 protein (19-483AA) |
| Form: | Liquid |
| Storage Buffer: | Preservative: 0.03% Proclin 300 Constituents: 50% Glycerol, 0.01M PBS, PH 7.4 |
| Purification Method: | >95%, Protein G purified |
| Clonality: | Polyclonal |
| Isotype: | IgG |
| Conjugate: | Non-conjugated |
![]() | Western blot All lanes: Angpt2 antibody at 2µg/ml + Mouse lung tissue Secondary Goat polyclonal to rabbit IgG at 1/10000 dilution Predicted band size: 57 kDa Observed band size: 57 kDa . |
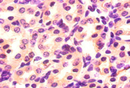
![]() | Immunohistochemistry of paraffin-embedded human placenta tissue using PACO33756 at dilution of 1:20. |
![]() | Immunohistochemistry of paraffin-embedded mouse kidney tissue using PACO33756 at dilution of 1:50. |
| Background: | Binds to TEK/TIE2, competing for the ANGPT1 binding site, and modulating ANGPT1 signaling. Can induce tyrosine phosphorylation of TEK/TIE2 in the absence of ANGPT1. In the absence of angiogenic inducers, such as VEGF, ANGPT2-mediated loosening of cell-matrix contacts may induce endothelial cell apoptosis with consequent vascular regression. In concert with VEGF, it may facilitate endothelial cell migration and proliferation, thus serving as a permissive angiogenic signal |
| Synonyms: | Angiopoietin-2 (ANG-2), Angpt2, Agpt2 |
| UniProt Protein Function: | ANGPT2: Binds to TEK/TIE2, competing for the ANGPT1 binding site, and modulating ANGPT1 signaling. Can induce tyrosine phosphorylation of TEK/TIE2 in the absence of ANGPT1. In the absence of angiogenic inducers, such as VEGF, ANGPT2-mediated loosening of cell-matrix contacts may induce endothelial cell apoptosis with consequent vascular regression. In concert with VEGF, it may facilitate endothelial cell migration and proliferation, thus serving as a permissive angiogenic signal. Interacts with TEK/TIE2, competing for the same binding site as ANGPT1. 3 isoforms of the human protein are produced by alternative splicing. |
| UniProt Protein Details: | Protein type:Secreted; Secreted, signal peptide Cellular Component: extracellular space; cell projection; plasma membrane; extracellular region; nucleus Molecular Function:protein binding; metal ion binding; receptor tyrosine kinase binding; vascular endothelial growth factor receptor binding Biological Process: Tie receptor signaling pathway; multicellular organismal development; negative regulation of blood vessel endothelial cell migration; regulation of angiogenesis; negative regulation of positive chemotaxis; negative regulation of angiogenesis; positive regulation of angiogenesis; blood vessel morphogenesis; hemopoiesis; blood vessel remodeling; angiogenesis; cell differentiation; transmembrane receptor protein tyrosine kinase signaling pathway; endoderm development |
| NCBI Summary: | This gene encodes an endothelial cell (EC)-derived regulator of angiogenesis and ligand for endothelial-specific receptor tyrosine kinase. The encoded protein acts as an anti-apoptotic factor for stressed ECs and a proapoptotic factor for resting ECs. [provided by RefSeq, Jan 2013] |
| UniProt Code: | O35608 |
| NCBI GenInfo Identifier: | 31982508 |
| NCBI Gene ID: | 11601 |
| NCBI Accession: | NP_031452.2 |
| UniProt Secondary Accession: | O35608,Q3U1A1, Q9D2D2, |
| UniProt Related Accession: | O35608 |
| Molecular Weight: | 56,576 Da |
| NCBI Full Name: | angiopoietin-2 |
| NCBI Synonym Full Names: | angiopoietin 2 |
| NCBI Official Symbol: | Angpt2Â Â |
| NCBI Official Synonym Symbols: | Ang2; Agpt2; Ang-2Â Â |
| NCBI Protein Information: | angiopoietin-2 |
| UniProt Protein Name: | Angiopoietin-2 |
| UniProt Gene Name: | Angpt2Â Â |
| UniProt Entry Name: | ANGP2_MOUSE |


