The alpha Sarcoglycan (SGCA) Monoclonal Antibody (CAB19754) is a high-quality antibody developed for reliable detection and analysis of target proteins. This polyclonal antibody, produced in rabbits, has been validated for use in various applications, including Western blot and immunohistochemistry.SGCA is a critical component of the dystrophin-glycoprotein complex, which is essential for maintaining muscle cell membrane integrity. Mutations in the SGCA gene can lead to various types of muscular dystrophy, making it a significant target for research in this field.
This antibody is validated for use in WB, IHC-P, ELISA, IF-P applications and has demonstrated reactivity against Mouse, Rat samples.
Product Name:
alpha Sarcoglycan (SGCA) Monoclonal Antibody
SKU:
CAB19754
Size:
20μL, 100μL
Reactivity:
Mouse, Rat
Clone Number:
ARC2280
Conjugate:
Unconjugated
Immunogen:
Synthetic peptide. This information is considered to be commercially sensitive.
This gene encodes a component of the dystrophin-glycoprotein complex (DGC), which is critical to the stability of muscle fiber membranes and to the linking of the actin cytoskeleton to the extracellular matrix. Its expression is thought to be restricted to striated muscle. Mutations in this gene result in type 2D autosomal recessive limb-girdle muscular dystrophy. Multiple transcript variants encoding different isoforms have been found for this gene.
Purification Method
Affinity purification
Gene ID
6442
RRID
AB_3097789
Buffer Information
Store at -20℃. Avoid freeze / thaw cycles. Buffer: PBS containing 50% glycerol and 0.05% BSA, preserved with proclin300 or sodium azide, pH 7.3.
Western blot analysis of various lysates using alpha Sarcoglycan (SGCA) (SGCA) Rabbit mAb (CAB19754) at 1:500 dilution. Secondary antibody: HRP-conjugated Goat anti-Rabbit IgG (H+L) (CABS014) at 1:10000 dilution. Lysates/proteins: 25μg per lane. Blocking buffer: 3% nonfat dry milk in TBST. Detection: ECL Basic Kit (AbGn00020). Exposure time: 10s.
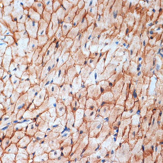
Immunohistochemistry analysis of paraffin-embedded Mouse heart using alpha Sarcoglycan (SGCA) (SGCA) Rabbit mAb (CAB19754) at dilution of 1:100 (40x lens). Microwave antigen retrieval performed with 0.01M Tris/EDTA Buffer (pH 9.0) prior to IHC staining.
Confocal imaging of paraffin-embedded Mouse heart using alpha Sarcoglycan (SGCA) Rabbit mAb (CAB19754,dilution 1:100) followed by a further incubation with Cy3 Goat Anti-Rabbit IgG (H+L) (CABS007, dilution 1:500) (Red). DAPI was used for nuclear staining (Blue). Objective: 40x. Perform high pressure antigen retrieval with 0.01 M citrate buffer (pH 6.0) prior to IF staining.
Confocal imaging of paraffin-embedded Rat heart using alpha Sarcoglycan (SGCA) Rabbit mAb (CAB19754,dilution 1:100) followed by a further incubation with Cy3 Goat Anti-Rabbit IgG (H+L) (CABS007, dilution 1:500) (Red). DAPI was used for nuclear staining (Blue). Objective: 40x. Perform high pressure antigen retrieval with 0.01 M citrate buffer (pH 6.0) prior to IF staining.