The CDC42EP1 Monoclonal Antibody (CAB19731) is a high-quality antibody developed for reliable detection and analysis of target proteins. This antibody is produced in rabbits and is particularly reactive with human samples. Validated for use in Western blot applications, the Anti-CDC42EP1 Antibody binds specifically to the CDC42EP1 protein, enabling precise detection and analysis in a variety of cell types.CDC42EP1, also known as Cdc42 effector protein 1, is involved in regulating the activity of the small GTPase CDC42, which is essential for various cellular processes such as cell adhesion, migration, and invasion.
This antibody is validated for use in WB, IHC-P, ELISA applications and has demonstrated reactivity against Human, Mouse, Rat samples.
Product Name:
CDC42EP1 Monoclonal Antibody
SKU:
CAB19731
Size:
20μL, 100μL
Reactivity:
Human, Mouse, Rat
Clone Number:
ARC2298
Conjugate:
Unconjugated
Immunogen:
Synthetic peptide. This information is considered to be commercially sensitive.
CDC42 is a member of the Rho GTPase family that regulates multiple cellular activities, including actin polymerization. The protein encoded by this gene is a CDC42 binding protein that mediates actin cytoskeleton reorganization at the plasma membrane. This protein is secreted and is primarily found in bone marrow.
Purification Method
Affinity purification
Gene ID
11135
Buffer Information
Store at -20℃. Avoid freeze / thaw cycles. Buffer: PBS containing 50% glycerol and 0.05% BSA, preserved with proclin300 or sodium azide, pH 7.3.
Western blot analysis of various lysates using CDC42EP1 Rabbit mAb (CAB19731) at 1:1000 dilution incubated overnight at 4℃. Secondary antibody: HRP-conjugated Goat anti-Rabbit IgG (H+L) (CABS014) at 1:10000 dilution. Lysates/proteins: 25 μg per lane. Blocking buffer: 3% nonfat dry milk in TBST. Detection: ECL Basic Kit (AbGn00020). Exposure time: 30s.
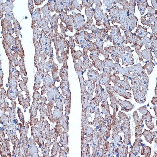
Immunohistochemistry analysis of paraffin-embedded Rat heart using CDC42EP1 Rabbit mAb (CAB19731) at dilution of 1:100 (40x lens). Microwave antigen retrieval performed with 0.01M Tris/EDTA Buffer (pH 9.0) prior to IHC staining.