The Cyclin B2 Monoclonal Antibody (CAB7956) is a high-quality antibody developed for reliable detection and analysis of target proteins. Cyclin B2 is a key regulatory protein involved in the progression of the cell cycle, specifically in the G2 to M phase transition. This antibody, produced in rabbits, is highly specific to human Cyclin B2 and has been validated for use in Western blot and immunohistochemistry applications.By targeting Cyclin B2, researchers can investigate its role in cell division and proliferation, as well as its potential as a therapeutic target in cancer treatment.
This antibody is validated for use in WB, IHC-P, IF/ICC, ELISA applications and has demonstrated reactivity against Human, Mouse, Rat samples.
Product Name:
Cyclin B2 Monoclonal Antibody
SKU:
CAB7956
Size:
20μL, 100μL
Reactivity:
Human, Mouse, Rat
Clone Number:
ARC1435
Conjugate:
Unconjugated
Immunogen:
Synthetic peptide. This information is considered to be commercially sensitive.
Cyclin B2 is a member of the cyclin family, specifically the B-type cyclins. The B-type cyclins, B1 and B2, associate with p34cdc2 and are essential components of the cell cycle regulatory machinery. B1 and B2 differ in their subcellular localization. Cyclin B1 co-localizes with microtubules, whereas cyclin B2 is primarily associated with the Golgi region. Cyclin B2 also binds to transforming growth factor beta RII and thus cyclin B2/cdc2 may play a key role in transforming growth factor beta-mediated cell cycle control.
Purification Method
Affinity purification
Gene ID
9133
Buffer Information
Store at -20℃. Avoid freeze / thaw cycles. Buffer: PBS containing 50% glycerol and 0.05% BSA, preserved with proclin300 or sodium azide, pH 7.3.
Western blot analysis of lysates from Rat testis , using Cyclin B2 Rabbit mAb (CAB7956) at 1:1000 dilution. Secondary antibody: HRP-conjugated Goat anti-Rabbit IgG (H+L) (CABS014) at 1:10000 dilution. Lysates/proteins: 25μg per lane. Blocking buffer: 3% nonfat dry milk in TBST. Detection: ECL Basic Kit (AbGn00020). Exposure time: 90s.
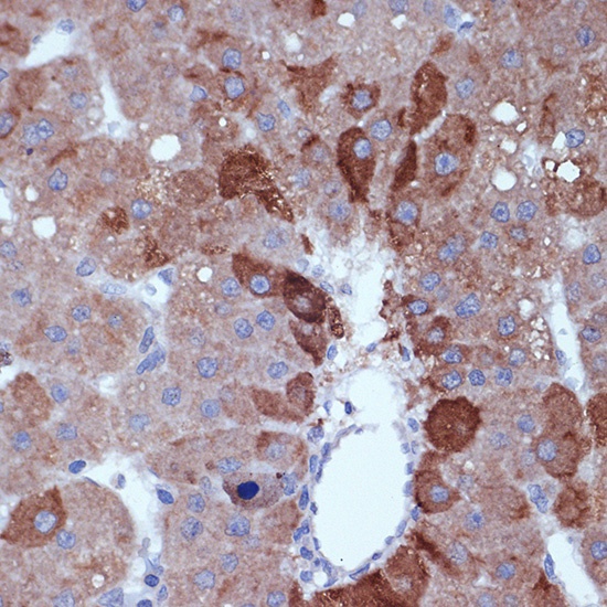
Immunohistochemistry analysis of paraffin-embedded Human liver cancer using Cyclin B2 Rabbit mAb (CAB7956) at dilution of 1:100 (40x lens). Microwave antigen retrieval performed with 0.01M Tris/EDTA Buffer (pH 9.0) prior to IHC staining.