The ENTPD5 Monoclonal Antibody (CAB19647) is a high-quality antibody developed for reliable detection and analysis of target proteins. This antibody, generated in rabbits, exhibits high reactivity towards human samples and is validated for use in various applications including Western blot and immunohistochemistry.ENTPD5, also known as CD39L4, is a critical player in regulating extracellular nucleotide levels and modulating purinergic signaling pathways. Its role in maintaining cellular homeostasis and responding to stress signals makes it a promising target for studying diseases such as cancer, cardiovascular disorders, and neurological conditions.
This antibody is validated for use in WB, IHC-P, ELISA applications and has demonstrated reactivity against Human, Mouse, Rat samples.
Product Name:
ENTPD5 Monoclonal Antibody
SKU:
CAB19647
Size:
20μL, 100μL
Reactivity:
Human, Mouse, Rat
Clone Number:
ARC2211
Conjugate:
Unconjugated
Immunogen:
Recombinant protein (or fragment).This information is considered to be commercially sensitive.
The protein encoded by this gene is similar to E-type nucleotidases (NTPases)/ecto-ATPase/apyrases. NTPases, such as CD39, mediate catabolism of extracellular nucleotides. ENTPD5 contains 4 apyrase-conserved regions which is characteristic of NTPases.
Purification Method
Affinity purification
Gene ID
957
Buffer Information
Store at -20℃. Avoid freeze / thaw cycles. Buffer: PBS containing 50% glycerol and 0.05% BSA, preserved with proclin300 or sodium azide, pH 7.3.
Western blot analysis of various lysates using ENTPD5 Rabbit mAb (CAB19647) at 1:3000 dilution. Secondary antibody: HRP-conjugated Goat anti-Rabbit IgG (H+L) (CABS014) at 1:10000 dilution. Lysates/proteins: 25μg per lane. Blocking buffer: 3% nonfat dry milk in TBST. Detection: ECL Basic Kit (AbGn00020). Exposure time: 1s.
Western blot analysis of various lysates using ENTPD5 Rabbit mAb (CAB19647) at 1:3000 dilution. Secondary antibody: HRP-conjugated Goat anti-Rabbit IgG (H+L) (CABS014) at 1:10000 dilution. Lysates/proteins: 25μg per lane. Blocking buffer: 3% nonfat dry milk in TBST. Detection: ECL Basic Kit (AbGn00020). Exposure time: 60s.
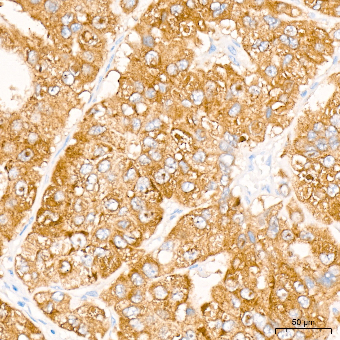
Immunohistochemistry analysis of paraffin-embedded Rat liver tissue using ENTPD5 Rabbit mAb (CAB19647) at a dilution of 1:200 (40x lens). High pressure antigen retrieval was performed with 0.01 M citrate buffer (pH 6.0) prior to IHC staining.
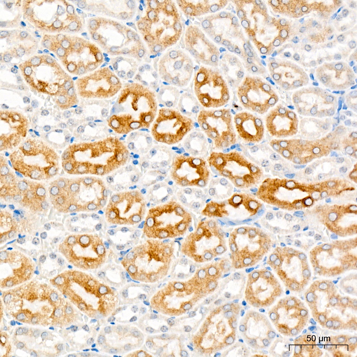
Immunohistochemistry analysis of paraffin-embedded Mouse kidney tissue using ENTPD5 Rabbit mAb (CAB19647) at a dilution of 1:200 (40x lens). High pressure antigen retrieval was performed with 0.01 M citrate buffer (pH 6.0) prior to IHC staining.