The GTF2F2 Monoclonal Antibody (CAB0536) is a high-quality antibody developed for reliable detection and analysis of target proteins. GTF2F2, also known as General transcription factor IIF subunit 2, plays a crucial role in transcription initiation and regulation of gene expression. This antibody, raised in rabbits, exhibits high reactivity with human samples and is validated for use in Western blot applications.By targeting the GTF2F2 protein, this antibody allows for the detection and analysis of GTF2F2 in different cell types, making it an excellent choice for studies in molecular biology and gene regulation. The GTF2F2 antibody is particularly useful for investigating the mechanisms underlying transcriptional control and gene expression, providing insights into the molecular pathways involved in various diseases and biological processes.
This antibody is validated for use in WB, IHC-P, ELISA applications and has demonstrated reactivity against Human, Mouse, Rat samples.
Product Name:
GTF2F2 Monoclonal Antibody
SKU:
CAB0536
Size:
20μL, 100μL
Reactivity:
Human, Mouse, Rat
Clone Number:
ARC2513
Conjugate:
Unconjugated
Immunogen:
Synthetic peptide. This information is considered to be commercially sensitive.
Recommended starting concentration is 1 μg/mL. Please optimize the concentration based on your specific assay requirements.
Synonyms:
BTF4, RAP30, TF2F2, TFIIF, GTF2F2
Positive Sample:
HeLa, 293T, HepG2, NIH/3T3, Mouse liver, Mouse testis, Rat testis
Cellular Localization:
Nucleus.
Calculated MW:
28kDa
Observed MW:
30kDa
Predicted to enable RNA polymerase II general transcription initiation factor activity. Involved in transcription by RNA polymerase II. Located in microtubule cytoskeleton and nucleoplasm. Part of transcription preinitiation complex.
Purification Method
Affinity purification
Gene ID
2963
Buffer Information
Store at -20℃. Avoid freeze / thaw cycles. Buffer: PBS containing 50% glycerol and 0.05% BSA, preserved with proclin300 or sodium azide, pH 7.3.
Western blot analysis of various lysates using GTF2F2 Rabbit mAb (CAB0536) at 1:1000 dilution. Secondary antibody: HRP-conjugated Goat anti-Rabbit IgG (H+L) (CABS014) at 1:10000 dilution. Lysates/proteins: 25μg per lane. Blocking buffer: 3% nonfat dry milk in TBST. Detection: ECL Basic Kit (AbGn00020). Exposure time: 1s.
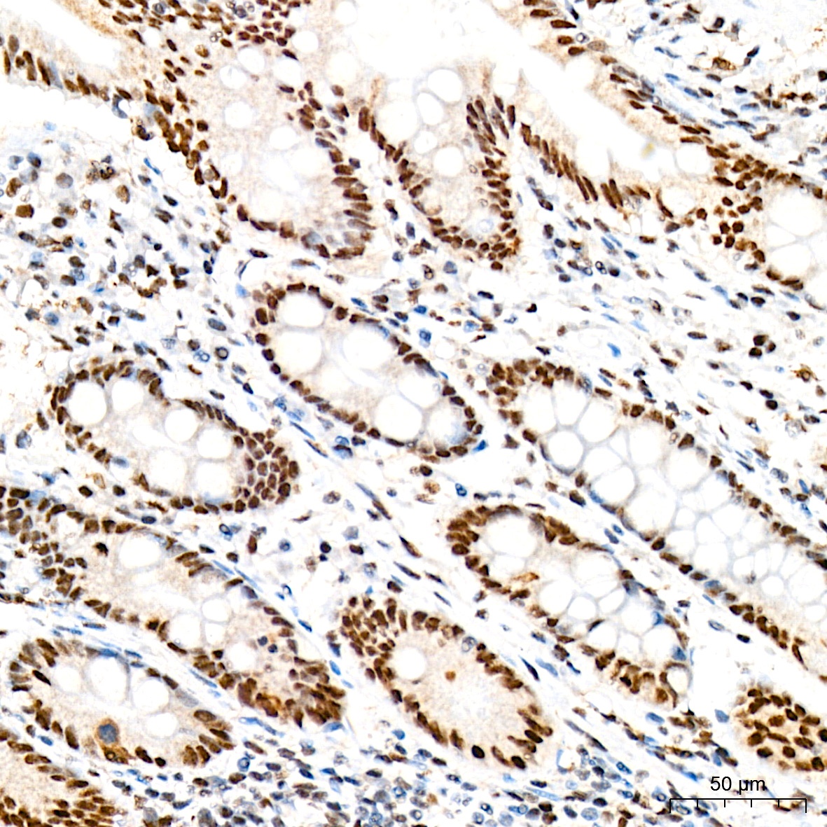
Immunohistochemistry analysis of paraffin-embedded Human colon tissue using GTF2F2 Rabbit mAb (CAB0536) at a dilution of 1:200 (40x lens). High pressure antigen retrieval was performed with 0.01 M citrate buffer (pH 6.0) prior to IHC staining.
Immunohistochemistry analysis of paraffin-embedded Human lung tissue using GTF2F2 Rabbit mAb (CAB0536) at a dilution of 1:200 (40x lens). High pressure antigen retrieval was performed with 0.01 M citrate buffer (pH 6.0) prior to IHC staining.
Immunohistochemistry analysis of paraffin-embedded Human esophagus tissue using GTF2F2 Rabbit mAb (CAB0536) at a dilution of 1:200 (40x lens). High pressure antigen retrieval was performed with 0.01 M citrate buffer (pH 6.0) prior to IHC staining.