The IKZF3 Monoclonal Antibody (CAB8614) is a high-quality antibody developed for reliable detection and analysis of target proteins. This antibody, generated in rabbits, exhibits high reactivity with human samples and is validated for use in Western blot applications. By binding specifically to Ikzf3 protein, this antibody enables precise detection and analysis in a variety of cell types, making it well-suited for investigations in immunology and cancer research.Ikzf3, also known as Aiolos, plays a crucial role in the regulation of immune responses by controlling the differentiation and function of various immune cell populations.
This antibody is validated for use in WB, IHC-P, IP, ELISA, IF-P applications and has demonstrated reactivity against Human, Mouse, Rat samples.
Product Name:
IKZF3 Monoclonal Antibody
SKU:
CAB8614
Size:
20μL, 100μL
Reactivity:
Human, Mouse, Rat
Clone Number:
ARC2781
Conjugate:
Unconjugated
Immunogen:
Recombinant protein (or fragment).This information is considered to be commercially sensitive.
0.5μg-4μg antibody for 200μg-400μg extracts of whole cells
IF-P
1:50 - 1:200
IHC-P
1:200 - 1:800
ELISA
Recommended starting concentration is 1 μg/mL. Please optimize the concentration based on your specific assay requirements.
Synonyms:
AIO, IMD84, AIOLOS, ZNFN1A3, IKZF3
Positive Sample:
Raji, Mouse spleen, Mouse thymus, Rat lung, , Raji, Ramos
Cellular Localization:
Cytoplasm, Cytosol, Nucleoplasm, Nucleus.
Calculated MW:
58kDa
Observed MW:
50-70kDa
This gene encodes a member of the Ikaros family of zinc-finger proteins. Three members of this protein family (Ikaros, Aiolos and Helios) are hematopoietic-specific transcription factors involved in the regulation of lymphocyte development. This gene product is a transcription factor that is important in the regulation of B lymphocyte proliferation and differentiation. Both Ikaros and Aiolos can participate in chromatin remodeling. Regulation of gene expression in B lymphocytes by Aiolos is complex as it appears to require the sequential formation of Ikaros homodimers, Ikaros/Aiolos heterodimers, and Aiolos homodimers. Several alternative transcripts encoding different isoforms have been described, as well as some non-protein coding variants.
Purification Method
Affinity purification
Gene ID
22806
Buffer Information
Store at -20℃. Avoid freeze / thaw cycles. Buffer: PBS containing 50% glycerol and 0.05% BSA, preserved with proclin300 or sodium azide, pH 7.3.
Western blot analysis of various lysates using IKZF3 Rabbit mAb (CAB8614) at 1:500 dilution. Secondary antibody: HRP-conjugated Goat anti-Rabbit IgG (H+L) (CABS014) at 1:10000 dilution. Lysates/proteins: 25μg per lane. Blocking buffer: 3% nonfat dry milk in TBST. Detection: ECL Basic Kit (AbGn00020). Exposure time: 60s.
Western blot analysis of various lysates using IKZF3 Rabbit mAb (CAB8614) at 1:1000 dilution incubated at room temperature for 1.5 hours. Secondary antibody: HRP-conjugated Goat anti-Rabbit IgG (H+L) (CABS014) at 1:10000 dilution. Lysates/proteins: 25 μg per lane. Blocking buffer: 3% nonfat dry milk in TBST. Detection: ECL Basic Kit (AbGn00020). Negative control (NC): U-937. Exposure time: 45 s.
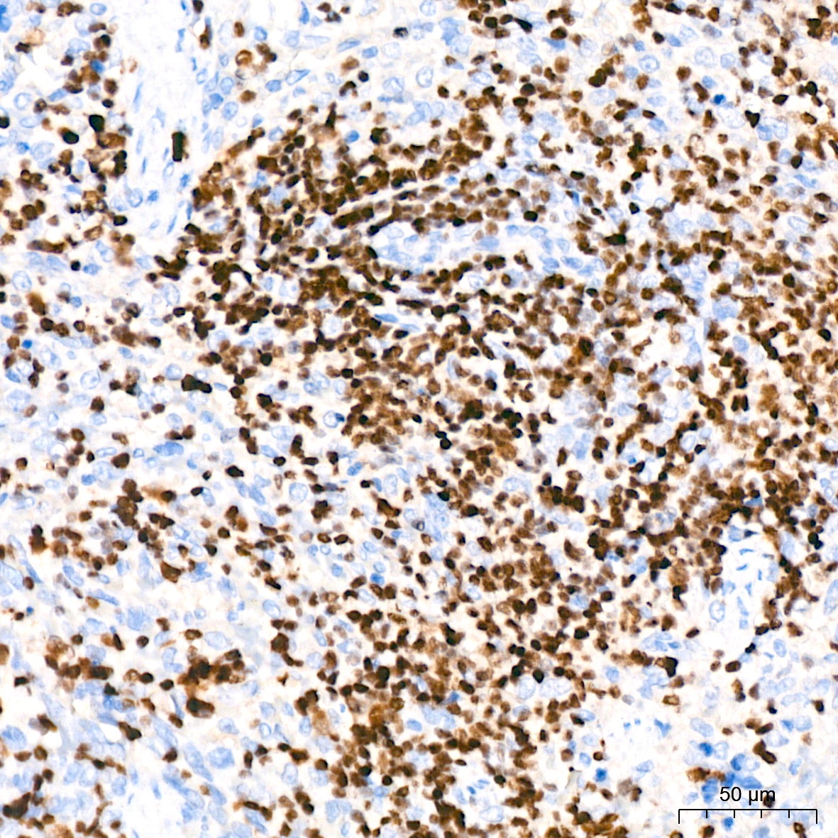
Immunohistochemistry analysis of paraffin-embedded Mouse spleen tissue using IKZF3 Rabbit mAb (CAB8614) at a dilution of 1:200 (40x lens). High pressure antigen retrieval performed with 0.01M Citrate buffer (pH 6.0) prior to IHC staining.
Immunohistochemistry analysis of paraffin-embedded Rat spleen tissue using IKZF3 Rabbit mAb (CAB8614) at a dilution of 1:200 (40x lens). High pressure antigen retrieval performed with 0.01M Citrate buffer (pH 6.0) prior to IHC staining.
Immunoprecipitation analysis of 300 μg extracts of Raji cells using 3 μg IKZF3 antibody (CAB8614). Western blot was performed from the immunoprecipitate using IKZF3 antibody (CAB8614) at a dilution of 1:500.