The VPS28 Monoclonal Antibody (CAB19240) is a high-quality antibody developed for reliable detection and analysis of target proteins. This antibody, raised in rabbits, exhibits high reactivity with human samples and has been validated for use in Western blot applications. By binding to the Vps28 protein, this antibody enables accurate detection and analysis in various cell types, making it an essential tool for research in cell biology and molecular biology.Vps28 is a component of the ESCRT-I (endosomal sorting complex required for transport) complex, which plays a crucial role in sorting ubiquitinated membrane proteins for degradation in the lysosome.
This antibody is validated for use in WB, IHC-P, ELISA applications and has demonstrated reactivity against Human, Mouse, Rat samples.
Product Name:
VPS28 Monoclonal Antibody
SKU:
CAB19240
Size:
20μL, 100μL
Reactivity:
Human, Mouse, Rat
Clone Number:
ARC2399
Conjugate:
Unconjugated
Immunogen:
Synthetic peptide. This information is considered to be commercially sensitive.
Recommended starting concentration is 1 μg/mL. Please optimize the concentration based on your specific assay requirements.
Synonyms:
VPS28, ESCRT-I subunit
Positive Sample:
THP-1, Mouse brain, Rat brain
Cellular Localization:
Cell Membrane, Late Endosome Membrane, Peripheral Membrane Protein.
Calculated MW:
25kDa
Observed MW:
25kDa
This gene encodes a protein subunit of the ESCRT-I complex (endosomal complexes required for transport), which functions in the transport and sorting of proteins into subcellular vesicles. This complex can also be hijacked to facilitate the budding of enveloped viruses from the cell membrane. Alternative splicing results in multiple transcript variants encoding different isoforms.
Purification Method
Affinity purification
Gene ID
51160
Buffer Information
Store at -20℃. Avoid freeze / thaw cycles. Buffer: PBS containing 50% glycerol and 0.05% BSA, preserved with proclin300 or sodium azide, pH 7.3.
Western blot analysis of various lysates using VPS28 Rabbit mAb (CAB19240) at 1:1000 dilution. Secondary antibody: HRP-conjugated Goat anti-Rabbit IgG (H+L) (CABS014) at 1:10000 dilution. Lysates/proteins: 25μg per lane. Blocking buffer: 3% nonfat dry milk in TBST. Detection: ECL Basic Kit (AbGn00020). Exposure time: 10s.
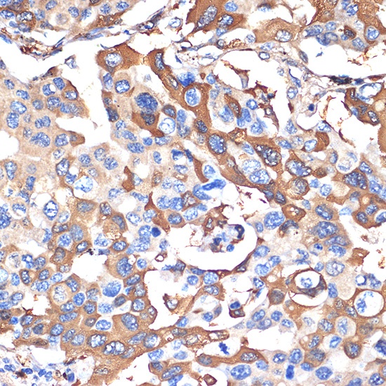
Immunohistochemistry analysis of paraffin-embedded Human lung cancer using VPS28 Rabbit mAb (CAB19240) at dilution of 1:100 (40x lens). Microwave antigen retrieval performed with 0.01M Tris/EDTA Buffer (pH 9.0) prior to IHC staining.