The VPS28 Antibody (CAB9104) is a high-quality antibody developed for reliable detection and analysis of target proteins. This antibody, generated in rabbits, exhibits strong reactivity with human samples and has been validated for use in Western blot applications.VPS28 plays a crucial role in the sorting of ubiquitinated cargo proteins and is essential for multivesicular body (MVB) biogenesis and lysosomal degradation. Dysregulation of VPS28 has been linked to various diseases, including neurodegenerative disorders and viral infections, underscoring its importance in cellular homeostasis.
This antibody is validated for use in WB, IF/ICC, ELISA applications and has demonstrated reactivity against Human, Mouse, Rat samples.
Product Name:
VPS28 Antibody
SKU:
CAB9104
Size:
20μL, 100μL
Reactivity:
Human, Mouse, Rat
Conjugate:
Unconjugated
Immunogen:
Recombinant protein (or fragment).This information is considered to be commercially sensitive.
Cell Membrane, Late Endosome Membrane, Peripheral Membrane Protein.
Calculated MW:
25kDa
Observed MW:
25kDa
This gene encodes a protein subunit of the ESCRT-I complex (endosomal complexes required for transport), which functions in the transport and sorting of proteins into subcellular vesicles. This complex can also be hijacked to facilitate the budding of enveloped viruses from the cell membrane. Alternative splicing results in multiple transcript variants encoding different isoforms.
Purification Method
Affinity purification
Gene ID
51160
RRID
AB_2772868
Buffer Information
Store at -20℃. Avoid freeze / thaw cycles. Buffer: PBS containing 50% glycerol, preserved with proclin300 or sodium azide, pH 7.3.
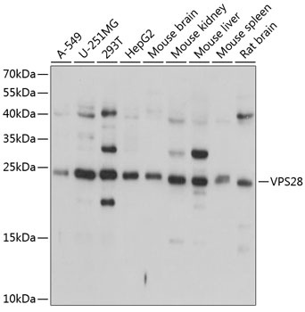
Western blot analysis of various lysates using VPS28 Rabbit pAb (CAB9104) at 1:1000 dilution. Secondary antibody: HRP-conjugated Goat anti-Rabbit IgG (H+L) (CABS014) at 1:10000 dilution. Lysates/proteins: 25μg per lane. Blocking buffer: 3% nonfat dry milk in TBST. Detection: ECL Basic Kit (AbGn00020). Exposure time: 1s.