The AP2S1 Antibody (CAB12270) is a high-quality antibody developed for reliable detection and analysis of target proteins. This antibody, generated in rabbits, demonstrates high reactivity with human samples and has been validated for use in Western blot applications. By binding specifically to the AP2S1 protein, this antibody allows for the detection and analysis of AP2S1 in various cell types, making it an ideal choice for studies in cell biology, signal transduction, and membrane trafficking.AP2S1 plays a crucial role in regulating the internalization of cell surface receptors and the transport of cargo proteins within cells.
This antibody is validated for use in WB, ELISA applications and has demonstrated reactivity against Human, Mouse, Rat samples.
Product Name:
AP2S1 Antibody
SKU:
CAB12270
Size:
20μL, 100μL
Reactivity:
Human, Mouse, Rat
Conjugate:
Unconjugated
Immunogen:
Recombinant protein (or fragment).This information is considered to be commercially sensitive.
One of two major clathrin-associated adaptor complexes, AP-2, is a heterotetramer which is associated with the plasma membrane. This complex is composed of two large chains, a medium chain, and a small chain. This gene encodes the small chain of this complex. Alternative splicing results in multiple transcript variants.
Purification Method
Affinity purification
Gene ID
1175
RRID
AB_2759138
Buffer Information
Store at -20℃. Avoid freeze / thaw cycles. Buffer: PBS with 0.01% thimerosal,50% glycerol,pH7.3.
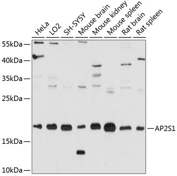
Western blot analysis of various lysates using AP2S1 Rabbit pAb (CAB12270) at 1:3000 dilution. Secondary antibody: HRP-conjugated Goat anti-Rabbit IgG (H+L) (CABS014) at 1:10000 dilution. Lysates/proteins: 25μg per lane. Blocking buffer: 3% nonfat dry milk in TBST. Detection: ECL Basic Kit (AbGn00020). Exposure time: 20s.