The BMP15 Monoclonal Antibody (CAB4148) is a high-quality antibody developed for reliable detection and analysis of target proteins. BMP15 is known for its involvement in ovarian function and fertility, particularly in regulating folliculogenesis and oocyte development.This monoclonal antibody, generated in rabbits, shows exceptional reactivity with human samples and is validated for use in various applications, including Western blot and immunohistochemistry. Its ability to bind specifically to the BMP15 protein allows for accurate detection and analysis in different cell types and tissue samples, making it an essential tool for researchers in reproductive biology and infertility studies.
This antibody is validated for use in WB, ELISA applications and has demonstrated reactivity against Human, Mouse, Rat samples.
Product Name:
BMP15 Monoclonal Antibody
SKU:
CAB4148
Size:
20μL, 100μL
Reactivity:
Human, Mouse, Rat
Clone Number:
ARC0907
Conjugate:
Unconjugated
Immunogen:
Synthetic peptide. This information is considered to be commercially sensitive.
Recommended starting concentration is 1 μg/mL. Please optimize the concentration based on your specific assay requirements.
Synonyms:
ODG2, POF4, GDF9B, BMP15
Positive Sample:
SKOV3, A-431, Mouse lung, Mouse ovary, Mouse kidney, Rat ovary
Cellular Localization:
Secreted.
Calculated MW:
45kDa
Observed MW:
50kDa
This gene encodes a secreted ligand of the TGF-beta (transforming growth factor-beta) superfamily of proteins. Ligands of this family bind various TGF-beta receptors leading to recruitment and activation of SMAD family transcription factors that regulate gene expression. The encoded preproprotein is proteolytically processed to generate subunits of a disulfide-linked homodimer, or alternatively, a heterodimer, with the related protein, growth differentiation factor 9 (GDF9). This protein plays a role in oocyte maturation and follicular development, through activation of granulosa cells. Defects in this gene are the cause of ovarian dysgenesis and are associated with premature ovarian failure.
Purification Method
Affinity purification
Gene ID
9210
RRID
AB_2863196
Buffer Information
Store at -20℃. Avoid freeze / thaw cycles. Buffer: PBS containing 50% glycerol and 0.05% BSA, preserved with proclin300 or sodium azide, pH 7.3.
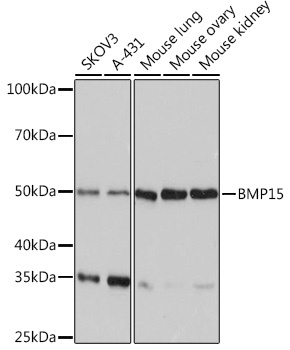
Western blot analysis of various lysates using BMP15 Rabbit mAb (CAB4148) at 1:1000 dilution. Secondary antibody: HRP-conjugated Goat anti-Rabbit IgG (H+L) (CABS014) at 1:10000 dilution. Lysates/proteins: 25μg per lane. Blocking buffer: 3% nonfat dry milk in TBST. Detection: ECL Basic Kit (AbGn00020). Exposure time: 180s.
Western blot analysis of lysates from Rat ovary, using BMP15 Rabbit mAb (CAB4148) at 1:1000 dilution. Secondary antibody: HRP-conjugated Goat anti-Rabbit IgG (H+L) (CABS014) at 1:10000 dilution. Lysates/proteins: 25μg per lane. Blocking buffer: 3% nonfat dry milk in TBST. Detection: ECL Enhanced Kit (AbGn00021). Exposure time: 180s.