The BMP6 Monoclonal Antibody (CAB4538) is a high-quality antibody developed for reliable detection and analysis of target proteins. This antibody, produced in rabbits, is highly reactive and has been validated for use in Western blot applications.BMP6 is a multifunctional cytokine belonging to the TGF-beta superfamily, playing a crucial role in cell differentiation, proliferation, and apoptosis. It is involved in skeletal development, iron metabolism, and inflammation, making it a key player in various biological processes. The BMP6 Rabbit Monoclonal Antibody enables researchers to study the expression and function of BMP6 in different cell types and tissues, making it an invaluable tool for studies in developmental biology, regenerative medicine, and disease research.
This antibody is validated for use in WB, IF/ICC, ELISA applications and has demonstrated reactivity against Human, Mouse, Rat samples.
Product Name:
BMP6 Monoclonal Antibody
SKU:
CAB4538
Size:
20μL, 100μL
Reactivity:
Human, Mouse, Rat
Clone Number:
ARC1025
Conjugate:
Unconjugated
Immunogen:
Synthetic peptide. This information is considered to be commercially sensitive.
Recommended starting concentration is 1 μg/mL. Please optimize the concentration based on your specific assay requirements.
Synonyms:
IO, VGR, VGR1, BMP6
Positive Sample:
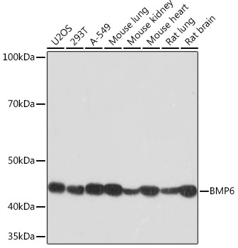
U-2 OS, 293T, A549, Mouse lung, Mouse kidney, Mouse heart, Rat lung, Rat brain
Cellular Localization:
Secreted.
Calculated MW:
57kDa
Observed MW:
42kDa
This gene encodes a secreted ligand of the TGF-beta (transforming growth factor-beta) superfamily of proteins. Ligands of this family bind various TGF-beta receptors leading to recruitment and activation of SMAD family transcription factors that regulate gene expression. The encoded preproprotein is proteolytically processed to generate each subunit of the disulfide-linked homodimer. This protein regulates a wide range of biological processes including iron homeostasis, fat and bone development, and ovulation. Differential expression of this gene may be associated with progression of breast and prostate cancer. Mutations in this gene may be associated with iron overload in human patients.
Purification Method
Affinity purification
Gene ID
654
RRID
AB_2863291
Buffer Information
Store at -20℃. Avoid freeze / thaw cycles. Buffer: PBS containing 50% glycerol and 0.05% BSA, preserved with proclin300 or sodium azide, pH 7.3.
Western blot analysis of various lysates using BMP6 Rabbit mAb (CAB4538) at 1:1000 dilution. Secondary antibody: HRP-conjugated Goat anti-Rabbit IgG (H+L) (CABS014) at 1:10000 dilution. Lysates/proteins: 25μg per lane. Blocking buffer: 3% nonfat dry milk in TBST. Detection: ECL Basic Kit (AbGn00020). Exposure time: 60s.
Immunofluorescence analysis of NIH-3T3 cells using BMP6 Rabbit mAb (CAB4538) at dilution of 1:100 (40x lens). Secondary antibody: Cy3-conjugated Goat anti-Rabbit IgG (H+L) (CABS007) at 1:500 dilution. Blue: DAPI for nuclear staining.