The CLNS1A Antibody (CAB16040) is a high-quality antibody developed for reliable detection and analysis of target proteins. This antibody, generated in rabbits, is highly specific to human samples and is validated for use in techniques such as Western blotting.CLNS1A is essential for maintaining proper lipid levels in cells, and dysregulation of CLNS1A expression has been linked to metabolic disorders and neurological conditions.
This antibody is validated for use in WB, IHC-P, ELISA applications and has demonstrated reactivity against Human, Mouse, Rat samples.
Product Name:
CLNS1A Antibody
SKU:
CAB16040
Size:
20μL, 100μL
Reactivity:
Human, Mouse, Rat
Conjugate:
Unconjugated
Immunogen:
Recombinant protein (or fragment).This information is considered to be commercially sensitive.
Recommended starting concentration is 1 μg/mL. Please optimize the concentration based on your specific assay requirements.
Synonyms:
CLCI, ICln, CLNS1B, CLNS1A
Positive Sample:
HT-29, 293T, DU145, Jurkat, HeLa, Mouse brain
Cellular Localization:
Cytoplasm, Nucleus, Cytoskeleton, Cytosol.
Calculated MW:
26kDa
Observed MW:
38kDa
This gene encodes a protein that functions in multiple regulatory pathways. The encoded protein complexes with numerous cytosolic proteins and performs diverse functions including regulation of small nuclear ribonucleoprotein biosynthesis, platelet activation and cytoskeletal organization. The protein is also found associated with the plasma membrane where it functions as a chloride current regulator. Pseudogenes of this gene are found on chromosomes 1, 4 and 6. Several transcript variants encoding different isoforms have been found for this gene.
Purification Method
Affinity purification
Gene ID
1207
RRID
AB_2763479
Buffer Information
Store at -20℃. Avoid freeze / thaw cycles. Buffer: PBS with 0.01% thimerosal,50% glycerol,pH7.3.
Western blot analysis of various lysates using CLNS1A Rabbit pAb (CAB16040) at 1:1000 dilution. Secondary antibody: HRP-conjugated Goat anti-Rabbit IgG (H+L) (CABS014) at 1:10000 dilution. Lysates/proteins: 25μg per lane. Blocking buffer: 3% nonfat dry milk in TBST. Detection: ECL Basic Kit (AbGn00020). Exposure time: 5s.
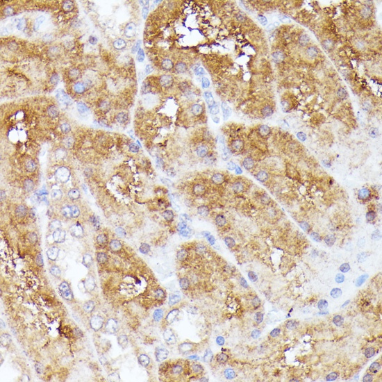
Immunohistochemistry analysis of paraffin-embedded Rat kidney using CLNS1A Rabbit pAb (CAB16040) at dilution of 1:100 (40x lens). Microwave antigen retrieval performed with 0.01M PBS Buffer (pH 7.2) prior to IHC staining.
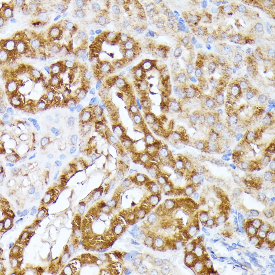
Immunohistochemistry analysis of paraffin-embedded Mouse kidney using CLNS1A Rabbit pAb (CAB16040) at dilution of 1:100 (40x lens). Microwave antigen retrieval performed with 0.01M PBS Buffer (pH 7.2) prior to IHC staining.