The CLTB Antibody (CAB8404) is a high-quality antibody developed for reliable detection and analysis of target proteins. This antibody, produced in rabbits, has been validated for use in Western blot applications and demonstrates high reactivity with human samples.CLTB plays a crucial role in facilitating the transport of vesicles within the cell and is essential for maintaining proper cellular function. By targeting the CLTB protein, researchers can investigate its involvement in various cellular processes such as endocytosis, membrane recycling, and organelle biogenesis.
This antibody is validated for use in WB, IF/ICC, ELISA applications and has demonstrated reactivity against Human, Mouse, Rat samples.
Product Name:
CLTB Antibody
SKU:
CAB8404
Size:
20μL, 100μL
Reactivity:
Human, Mouse, Rat
Conjugate:
Unconjugated
Immunogen:
Recombinant protein (or fragment).This information is considered to be commercially sensitive.
Clathrin is a large, soluble protein composed of heavy and light chains. It functions as the main structural component of the lattice-type cytoplasmic face of coated pits and vesicles which entrap specific macromolecules during receptor-mediated endocytosis. This gene encodes one of two clathrin light chain proteins which are believed to function as regulatory elements. Alternative splicing results in multiple transcript variants.
Purification Method
Affinity purification
Gene ID
1212
RRID
AB_2768962
Buffer Information
Store at -20℃. Avoid freeze / thaw cycles. Buffer: PBS containing 50% glycerol, preserved with proclin300 or sodium azide, pH 7.3.
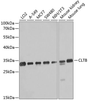
Western blot analysis of various lysates using CLTB Rabbit pAb (CAB8404) at 1:1000 dilution. Secondary antibody: HRP-conjugated Goat anti-Rabbit IgG (H+L) (CABS014) at 1:10000 dilution. Lysates/proteins: 25μg per lane. Blocking buffer: 3% nonfat dry milk in TBST. Detection: ECL Basic Kit (AbGn00020). Exposure time: 10s.
Immunofluorescence analysis of HeLa cells using CLTB Rabbit pAb (CAB8404) at dilution of 1:100 (40x lens). Secondary antibody: Cy3-conjugated Goat anti-Rabbit IgG (H+L) (CABS007) at 1:500 dilution. Blue: DAPI for nuclear staining.