The Cullin-1 Polyclonal Antibody (CAB2136) is a valuable tool for researchers investigating the role of Cullin-1 in cellular processes such as protein degradation and cell cycle regulation. This antibody, generated in rabbits, is highly specific to human samples and has been validated for use in Western blot applications. By targeting the Cullin-1 protein, this antibody enables researchers to detect and analyze Cullin-1 levels in various cell types, making it ideal for studies in oncology and cell biology.Cullin-1 is a key component of the Cullin-RING E3 ubiquitin ligase complex, which plays a crucial role in targeting proteins for degradation via the ubiquitin-proteasome pathway.
Dysregulation of Cullin-1 has been implicated in various human diseases, including cancer, making it an important target for therapeutic intervention. By studying Cullin-1 expression and activity with the CAB2136 antibody, researchers can gain insight into the mechanisms underlying disease progression and identify potential targets for drug development.
Product Name:
Cullin 1 Rabbit Polyclonal Antibody
SKU:
CAB2136
Size:
20uL, 100uL
Isotype:
IgG
Host Species:
Rabbit
Reactivity:
Human,Mouse,Rat
Immunogen:
Recombinant fusion protein containing a sequence corresponding to amino acids 435-593 of human Cullin 1 (NP_003583.2).
Predicted to enable ubiquitin protein ligase binding activity and ubiquitin-protein transferase activity. Involved in SCF-dependent proteasomal ubiquitin-dependent protein catabolic process and protein ubiquitination. Located in plasma membrane. Part of Parkin-FBXW7-Cul1 ubiquitin ligase complex and SCF ubiquitin ligase complex.
Purification Method:
Affinity purification
Gene ID:
8454
Storage Buffer:
Store at -20℃. Avoid freeze / thaw cycles.Buffer: PBS with 0.05% proclin300,50% glycerol,pH7.3.
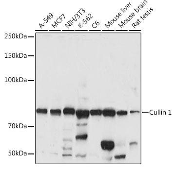
Western blot analysis of various lysates using Cullin 1 Rabbit pAb (CAB2136) at 1:1000 dilution.Secondary antibody: HRP Goat Anti-Rabbit IgG (H+L) (CABS014) at 1:10000 dilution.Lysates/proteins: 25μg per lane.Blocking buffer: 3% nonfat dry milk in TBST.Detection: ECL Basic Kit (AbGn00020).Exposure time: 10s.