The DBH Antibody (CAB13971) is a high-quality antibody developed for reliable detection and analysis of target proteins. This antibody, raised in rabbits, shows high reactivity with human, mouse, and rat samples, making it versatile for a variety of experimental settings.DBH is a crucial enzyme in the regulation of catecholamine neurotransmitters, impacting a range of physiological processes including cognition, emotion, and cardiovascular function. Dysregulation of DBH activity has been implicated in various diseases such as neurodegenerative disorders, psychiatric conditions, and cardiovascular diseases, making this antibody a valuable tool for researchers in these fields.
This antibody is validated for use in WB, IHC-P, ELISA applications and has demonstrated reactivity against Human, Mouse, Rat samples.
Product Name:
DBH Antibody
SKU:
CAB13971
Size:
20μL, 100μL
Reactivity:
Human, Mouse, Rat
Conjugate:
Unconjugated
Immunogen:
Recombinant protein (or fragment).This information is considered to be commercially sensitive.
The protein encoded by this gene is an oxidoreductase belonging to the copper type II, ascorbate-dependent monooxygenase family. The encoded protein, expressed in neuroscretory vesicles and chromaffin granules of the adrenal medulla, catalyzes the conversion of dopamine to norepinephrine, which functions as both a hormone and as the main neurotransmitter of the sympathetic nervous system. The enzyme encoded by this gene exists exists in both soluble and membrane-bound forms, depending on the absence or presence, respectively, of a signal peptide. Mutations in this gene cause dopamine beta-hydroxylate deficiency in human patients, characterized by deficits in autonomic and cardiovascular function, including hypotension and ptosis. Polymorphisms in this gene may play a role in a variety of psychiatric disorders.
Purification Method
Affinity purification
Gene ID
1621
RRID
AB_2760826
Buffer Information
Store at -20℃. Avoid freeze / thaw cycles. Buffer: PBS containing 50% glycerol, preserved with proclin300 or sodium azide, pH 7.3.
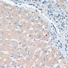
Immunohistochemistry analysis of paraffin-embedded Human liver using DBH Rabbit pAb (CAB13971) at dilution of 1:200 (40x lens). Microwave antigen retrieval performed with 0.01M PBS Buffer (pH 7.2) prior to IHC staining.