The DCP1A Monoclonal Antibody (CAB6824) is a high-quality antibody developed for reliable detection and analysis of target proteins. This antibody, produced in rabbits, exhibits high reactivity with human samples and is validated for Western blot applications. By binding specifically to the DCP1A protein, this antibody enables accurate detection and analysis in various cell types, making it ideal for investigations in RNA biology and gene expression regulation.DCP1A is essential for mRNA degradation and turnover, playing a crucial role in maintaining cellular homeostasis and gene expression control.
This antibody is validated for use in WB, IHC-P, IF/ICC, ELISA applications and has demonstrated reactivity against Human, Mouse samples.
Product Name:
DCP1A Monoclonal Antibody
SKU:
CAB6824
Size:
20μL, 100μL
Reactivity:
Human, Mouse
Clone Number:
ARC1421
Conjugate:
Unconjugated
Immunogen:
Synthetic peptide. This information is considered to be commercially sensitive.
Recommended starting concentration is 1 μg/mL. Please optimize the concentration based on your specific assay requirements.
Synonyms:
SMIF, SMAD4IP1, HSA275986, Nbla00360, DCP1A
Positive Sample:
HeLa, 293T, HepG2, SH-SY5Y
Cellular Localization:
Cytoplasm, Nucleus, P-Body.
Calculated MW:
63kDa
Observed MW:
73kDa
Decapping is a key step in general and regulated mRNA decay. The protein encoded by this gene is a decapping enzyme. This protein and another decapping enzyme form a decapping complex, which interacts with the nonsense-mediated decay factor hUpf1 and may be recruited to mRNAs containing premature termination codons. This protein also participates in the TGF-beta signaling pathway. Alternative splicing of this gene results in multiple transcript variants.
Purification Method
Affinity purification
Gene ID
55802
RRID
AB_2863539
Buffer Information
Store at -20℃. Avoid freeze / thaw cycles. Buffer: PBS containing 50% glycerol and 0.05% BSA, preserved with proclin300 or sodium azide, pH 7.3.
Western blot analysis of various lysates using DCP1A Rabbit mAb (CAB6824) at 1:500 dilution. Secondary antibody: HRP-conjugated Goat anti-Rabbit IgG (H+L) (CABS014) at 1:10000 dilution. Lysates/proteins: 25μg per lane. Blocking buffer: 3% nonfat dry milk in TBST. Detection: ECL Basic Kit (AbGn00020). Exposure time: 3min.
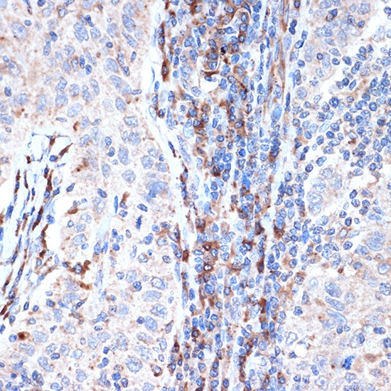
Immunohistochemistry analysis of paraffin-embedded Human esophageal cancer using DCP1A Rabbit mAb (CAB6824) at dilution of 1:100 (40x lens). Microwave antigen retrieval performed with 0.01M Tris/EDTA Buffer (pH 9.0) prior to IHC staining.