The DiMethyl-Histone H3-K79 Antibody (CAB2368) is a high-quality antibody developed for reliable detection and analysis of target proteins. This antibody, raised in rabbits, is highly reactive with samples from various species and has been validated for use in a range of applications including Western blot, immunohistochemistry, and chromatin immunoprecipitation (ChIP). It specifically binds to dimethylated histone H3 at lysine 79, allowing for precise detection and analysis of this histone modification in different cell types and experimental conditions.Histone methylation at lysine 79 has been implicated in various biological processes including gene regulation, DNA repair, and chromatin structure.
This antibody is validated for use in WB, IHC-P, IF/ICC, IP, ChIP, ChIP-seq, ELISA applications and has demonstrated reactivity against Human, Mouse, Rat, Other (Wide Range Predicted) samples.
Product Name:
DiMethyl-Histone H3-K79 Antibody
SKU:
CAB2368
Size:
20μL, 100μL
Reactivity:
Human, Mouse, Rat, Other (Wide Range Predicted)
Conjugate:
Unconjugated
Immunogen:
Synthetic peptide. This information is considered to be commercially sensitive.
Sequence:
DFKT D
Tested Applications:
WBIHC-PIF/ICCIPChIPChIP-seqELISA
Recommended Dilution:
WB
1:500 - 1:1000
IHC-P
1:50 - 1:100
IF/ICC
1:50 - 1:200
IP
0.5μg-4μg antibody for 200μg-400μg extracts of whole cells
ELISA
Recommended starting concentration is 1 μg/mL. Please optimize the concentration based on your specific assay requirements.
Histones are basic nuclear proteins that are responsible for the nucleosome structure of the chromosomal fiber in eukaryotes. Nucleosomes consist of approximately 146 bp of DNA wrapped around a histone octamer composed of pairs of each of the four core histones (H2A, H2B, H3, and H4). The chromatin fiber is further compacted through the interaction of a linker histone, H1, with the DNA between the nucleosomes to form higher order chromatin structures. This gene is intronless and encodes a replication-dependent histone that is a member of the histone H3 family. Transcripts from this gene lack polyA tails; instead, they contain a palindromic termination element. This gene is located separately from the other H3 genes that are in the histone gene cluster on chromosome 6p22-p21.3.
Purification Method
Affinity purification
Gene ID
8290 8350
RRID
AB_2736928
Buffer Information
Store at -20℃. Avoid freeze / thaw cycles. Buffer: PBS containing 50% glycerol, preserved with proclin300 or sodium azide, pH 7.3.
Western blot analysis of lysates from HeLa cells, using DiMethyl-Histone H3-K79 Rabbit pAb (CAB2368) at 1:1000 dilution. Secondary antibody: HRP-conjugated Goat anti-Rabbit IgG (H+L) (CABS014) at 1:10000 dilution. Lysates/proteins: 25μg per lane. Blocking buffer: 3% nonfat dry milk in TBST. Detection: ECL Basic Kit (AbGn00020). Exposure time: 90s.
Dot-blot analysis of all sorts of methylation peptides using DiMethyl-Histone H3-K79 antibody (CAB2368).
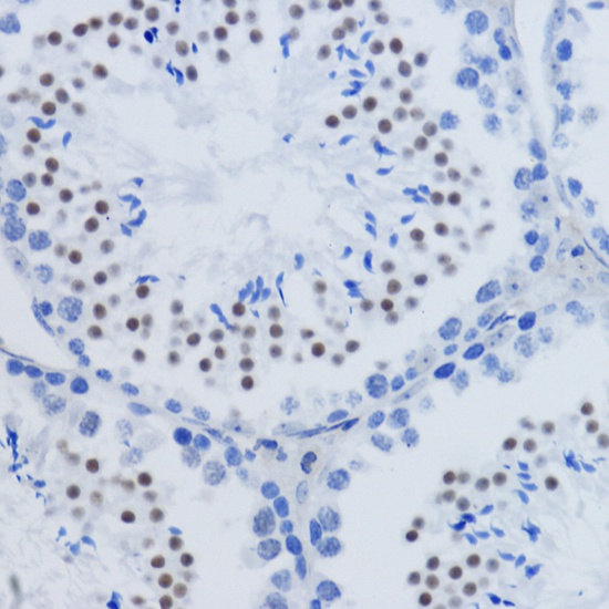
Immunohistochemistry analysis of paraffin-embedded Rat testis using DiMethyl-Histone H3-K79 Rabbit pAb (CAB2368) at dilution of 1:200 (40x lens). Microwave antigen retrieval performed with 0.01M PBS Buffer (pH 7.2) prior to IHC staining.
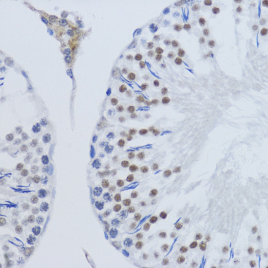
Immunohistochemistry analysis of paraffin-embedded Mouse testis using DiMethyl-Histone H3-K79 Rabbit pAb (CAB2368) at dilution of 1:200 (40x lens). Microwave antigen retrieval performed with 0.01M PBS Buffer (pH 7.2) prior to IHC staining.
Immunoprecipitation analysis of 300 μg extracts of HeLa cells using 3 μg DiMethyl-Histone H3-K79 antibody (CAB2368). Western blot was performed from the immunoprecipitate using DiMethyl-Histone H3-K79 antibody (CAB2368) at a dilution of 1:1000.
Chromatin immunoprecipitation analysis of extracts of MCF7 cells, using DiMethyl-Histone H3-K79 antibody (CAB2368) and rabbit IgG.The amount of immunoprecipitated DNA was checked by quantitative PCR. Histogram was constructed by the ratios of the immunoprecipitated DNA to the input.