The DiMethyl-Histone H3-K27 Antibody (CAB2362) is a high-quality antibody developed for reliable detection and analysis of target proteins. Histone H3 lysine 27 methylation is a crucial epigenetic mark associated with transcriptional repression and chromatin compaction. The dimethylation of this residue is known to play a role in gene silencing and is often implicated in various diseases, including cancer and neurodevelopmental disorders.This polyclonal antibody, generated in rabbits, exhibits high specificity and sensitivity towards dimethylated histone H3 at lysine 27 in human samples. It has been validated for use in techniques such as Western blotting, immunofluorescence, and chromatin immunoprecipitation, allowing for the detection and visualization of this specific histone modification in various cell types and tissues.
This antibody is validated for use in WB, IHC-P, IF/ICC, ChIP, ChIP-seq, ELISA, DB applications and has demonstrated reactivity against Human, Mouse, Rat, Other (Wide Range Predicted) samples.
Product Name:
DiMethyl-Histone H3-K27 Antibody
SKU:
CAB2362
Size:
20μL, 100μL
Reactivity:
Human, Mouse, Rat, Other (Wide Range Predicted)
Conjugate:
Unconjugated
Immunogen:
Synthetic peptide. This information is considered to be commercially sensitive.
Histones are basic nuclear proteins that are responsible for the nucleosome structure of the chromosomal fiber in eukaryotes. Nucleosomes consist of approximately 146 bp of DNA wrapped around a histone octamer composed of pairs of each of the four core histones (H2A, H2B, H3, and H4). The chromatin fiber is further compacted through the interaction of a linker histone, H1, with the DNA between the nucleosomes to form higher order chromatin structures. This gene is intronless and encodes a replication-dependent histone that is a member of the histone H3 family. Transcripts from this gene lack polyA tails; instead, they contain a palindromic termination element. This gene is located separately from the other H3 genes that are in the histone gene cluster on chromosome 6p22-p21.3.
Purification Method
Affinity purification
Gene ID
8290 8350
RRID
AB_2764322
Buffer Information
Store at -20℃. Avoid freeze / thaw cycles. Buffer: PBS containing 50% glycerol, preserved with proclin300 or sodium azide, pH 7.3.
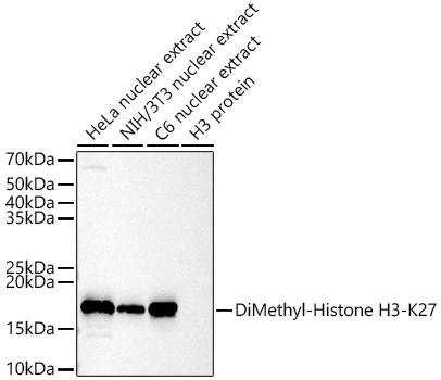
Western blot analysis of various lysates, using DiMethyl-Histone H3-K27 Rabbit pAb (CAB2362) at 1:1000 dilution. Secondary antibody: HRP-conjugated Goat anti-Rabbit IgG (H+L) (CABS014) at 1:10000 dilution. Lysates/proteins: 25μg per lane. Blocking buffer: 3% nonfat dry milk in TBST. Detection: ECL Basic Kit (AbGn00020). Exposure time: 180s.
Dot-blot analysis of all sorts of methylation peptides using DiMethyl-Histone H3-K27 antibody (CAB2362) at 1:1000 dilution.
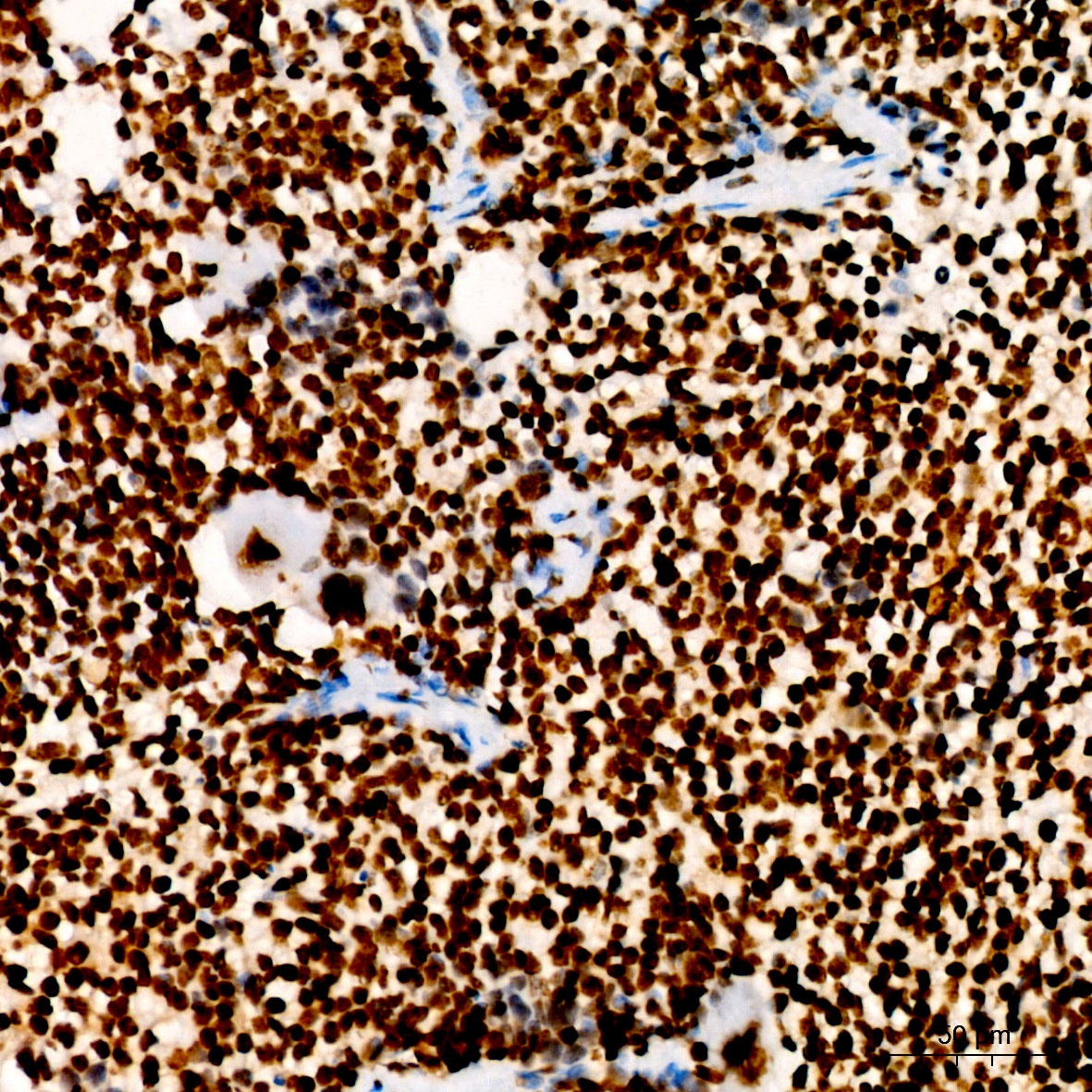
Immunohistochemistry analysis of paraffin-embedded Mouse spleen tissue using DiMethyl-Histone H3-K27 Rabbit pAb (CAB2362) at a dilution of 1:100 (40x lens). High pressure antigen retrieval was performed with 0.01 M citrate buffer (pH 6.0) prior to IHC staining.
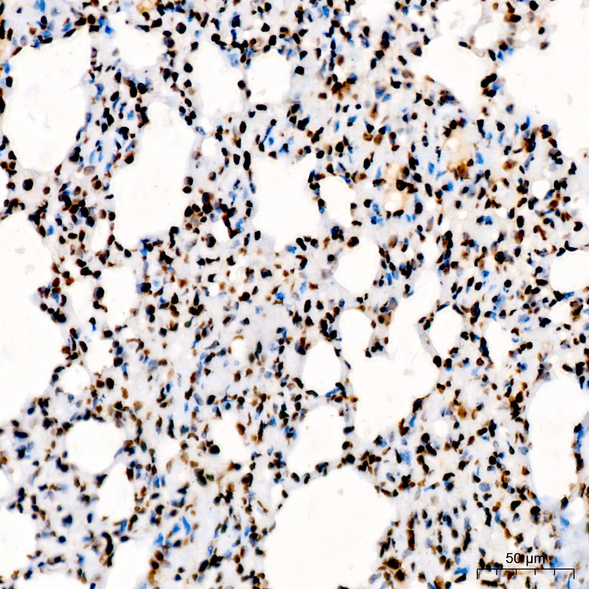
Immunohistochemistry analysis of paraffin-embedded Rat lung tissue using DiMethyl-Histone H3-K27 Rabbit pAb (CAB2362) at a dilution of 1:100 (40x lens). High pressure antigen retrieval was performed with 0.01 M citrate buffer (pH 6.0) prior to IHC staining.
Chromatin immunoprecipitation analysis of extracts of 293 cell line, using DiMethyl-Histone H3-K27 antibody (CAB2362) and rabbit IgG. The amount of immunoprecipitated DNA was checked by quantitative PCR. Histogram was constructed by the ratios of the immunoprecipitated DNA to the input.