The DiMethyl-Histone H3-K4 Antibody (CAB2356) is a high-quality antibody developed for reliable detection and analysis of target proteins. This antibody, produced in rabbits, is highly specific to dimethylated histone H3 at lysine 4 (H3K4me2) and is validated for use in various applications, including immunofluorescence, immunoprecipitation, and chromatin immunoprecipitation (ChIP).Histone H3 methylation at lysine 4 is known to be associated with active gene transcription, making it a key epigenetic mark in the regulation of gene expression. The Dimethyl-Histone H3 (K4) Antibody enables researchers to specifically detect and study this modification in various cell types and tissues, providing valuable insights into the mechanisms underlying gene regulation and cellular functions.
This antibody is validated for use in WB, IHC-P, IF/ICC, ChIP, ChIP-seq, ELISA applications and has demonstrated reactivity against Human, Mouse, Rat, Other (Wide Range Predicted) samples.
Product Name:
DiMethyl-Histone H3-K4 Antibody
SKU:
CAB2356
Size:
20μL, 100μL
Reactivity:
Human, Mouse, Rat, Other (Wide Range Predicted)
Conjugate:
Unconjugated
Immunogen:
Synthetic peptide. This information is considered to be commercially sensitive.
Histones are basic nuclear proteins that are responsible for the nucleosome structure of the chromosomal fiber in eukaryotes. Nucleosomes consist of approximately 146 bp of DNA wrapped around a histone octamer composed of pairs of each of the four core histones (H2A, H2B, H3, and H4). The chromatin fiber is further compacted through the interaction of a linker histone, H1, with the DNA between the nucleosomes to form higher order chromatin structures. This gene is intronless and encodes a replication-dependent histone that is a member of the histone H3 family. Transcripts from this gene lack polyA tails; instead, they contain a palindromic termination element. This gene is located separately from the other H3 genes that are in the histone gene cluster on chromosome 6p22-p21.3.
Purification Method
Affinity purification
Gene ID
8290 8350
RRID
AB_2764316
Buffer Information
Store at -20℃. Avoid freeze / thaw cycles. Buffer: PBS containing 50% glycerol, preserved with proclin300 or sodium azide, pH 7.3.
Western blot analysis of various lysates using DiMethyl-Histone H3-K4 Rabbit pAb (CAB2356) at 1:1000 dilution. Secondary antibody: HRP-conjugated Goat anti-Rabbit IgG (H+L) (CABS014) at 1:10000 dilution. Lysates/proteins: 25μg per lane. Blocking buffer: 3% nonfat dry milk in TBST. Detection: ECL Basic Kit (AbGn00020). Exposure time: 1s.
Dot-blot analysis of all sorts of methylation peptides using DiMethyl-Histone H3-K4 antibody (CAB2356).
Immunohistochemistry analysis of paraffin-embedded Mouse kidney using DiMethyl-Histone H3-K4 Rabbit pAb (CAB2356) at dilution of 1:100 (40x lens). Microwave antigen retrieval performed with 0.01M PBS Buffer (pH 7.2) prior to IHC staining.
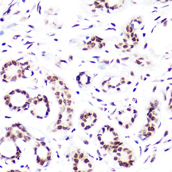
Immunohistochemistry analysis of paraffin-embedded Human breast using DiMethyl-Histone H3-K4 Rabbit pAb (CAB2356) at dilution of 1:100 (40x lens). Microwave antigen retrieval performed with 0.01M PBS Buffer (pH 7.2) prior to IHC staining.
Chromatin immunoprecipitation was performed with 10 μg of cross-linked chromatin from HeLa cells, using 5.5 μg of DiMethyl-Histone H3-K4 Rabbit pAb (CAB2356) and Rabbit IgG isotype control (AC042). The enrichment of immunoprecipitated DNA at different genomic loci was examined by quantitative PCR. The histogram compares the ratio of the immunoprecipitated DNA to the input at given loci.