The eEF1G Monoclonal Antibody (CAB8744) is a high-quality antibody developed for reliable detection and analysis of target proteins. This antibody, generated in rabbits, shows strong reactivity with human samples and has been validated for use in Western blot applications. By binding specifically to the EEF1G protein, this antibody enables precise detection and analysis in various cell types, making it an ideal choice for studies in molecular biology and cell biology.
This antibody is validated for use in WB, IHC-P, IF/ICC, ELISA applications and has demonstrated reactivity against Human, Mouse, Rat samples.
Product Name:
eEF1G Monoclonal Antibody
SKU:
CAB8744
Size:
20μL, 100μL
Reactivity:
Human, Mouse, Rat
Clone Number:
ARC1287
Conjugate:
Unconjugated
Immunogen:
Recombinant protein (or fragment).This information is considered to be commercially sensitive.
This gene encodes a subunit of the elongation factor-1 complex, which is responsible for the enzymatic delivery of aminoacyl tRNAs to the ribosome. This subunit contains an N-terminal glutathione transferase domain, which may be involved in regulating the assembly of multisubunit complexes containing this elongation factor and aminoacyl-tRNA synthetases.
Purification Method
Affinity purification
Gene ID
1937
RRID
AB_2863600
Buffer Information
Store at -20℃. Avoid freeze / thaw cycles. Buffer: PBS containing 50% glycerol and 0.05% BSA, preserved with proclin300 or sodium azide, pH 7.3.
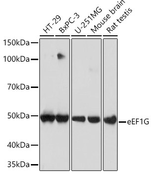
Western blot analysis of various lysates using eEF1G Rabbit mAb (CAB8744) at 1:1000 dilution. Secondary antibody: HRP-conjugated Goat anti-Rabbit IgG (H+L) (CABS014) at 1:10000 dilution. Lysates/proteins: 25μg per lane. Blocking buffer: 3% nonfat dry milk in TBST. Detection: ECL Basic Kit (AbGn00020). Exposure time: 10s.
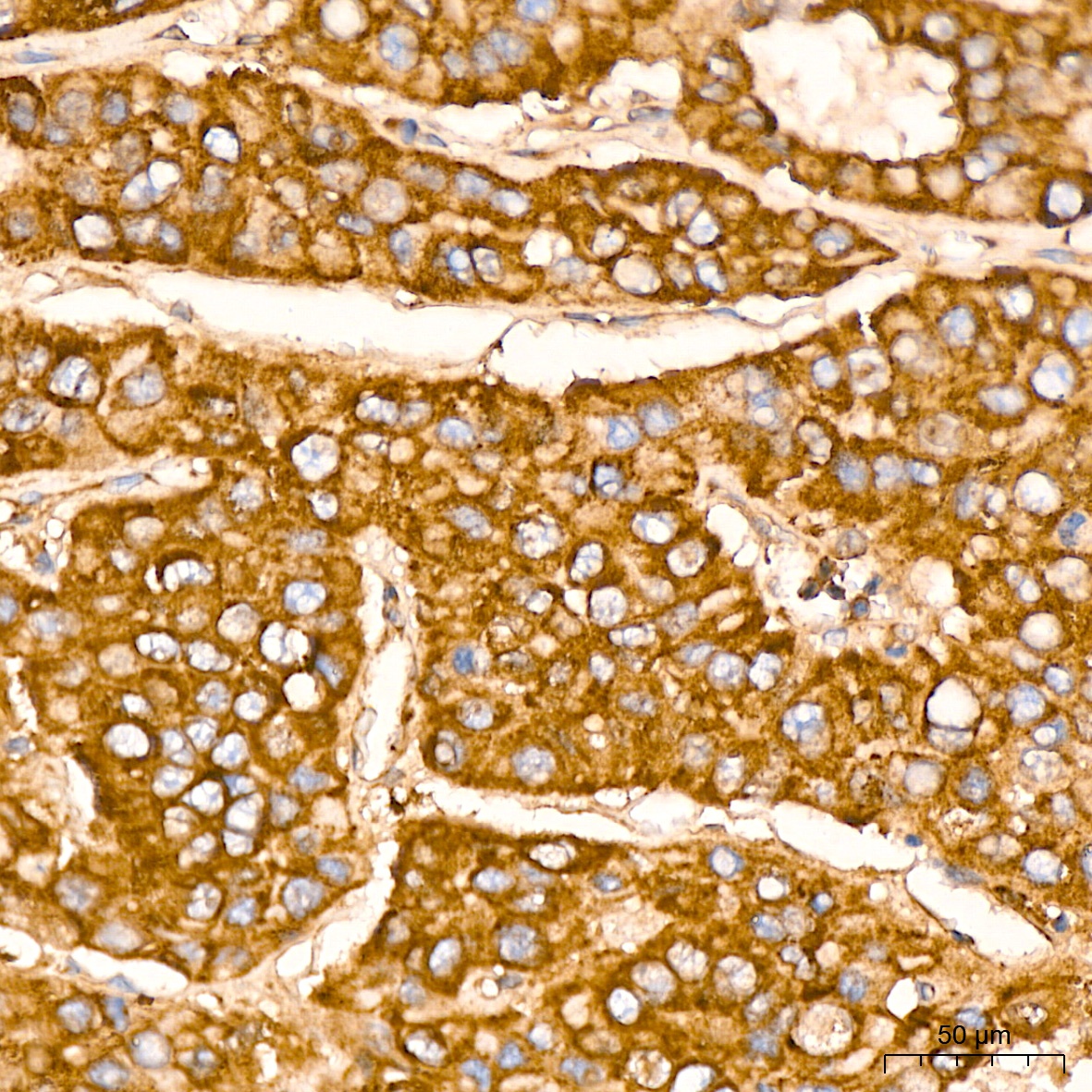
Immunohistochemistry analysis of paraffin-embedded Human liver tissue using eEF1G Rabbit mAb (CAB8744) at a dilution of 1:800 (40x lens). High pressure antigen retrieval performed with 0.01M Citrate buffer (pH 6.0) prior to IHC staining.
Immunohistochemistry analysis of paraffin-embedded Rat brain tissue using eEF1G Rabbit mAb (CAB8744) at a dilution of 1:800 (40x lens). High pressure antigen retrieval performed with 0.01M Citrate buffer (pH 6.0) prior to IHC staining.
Immunofluorescence analysis of HeLa cells using eEF1G Rabbit mAb (CAB8744) at dilution of 1:100 (40x lens). Secondary antibody: Cy3-conjugated Goat anti-Rabbit IgG (H+L) (CABS007) at 1:500 dilution. Blue: DAPI for nuclear staining.