The FDXR Antibody (CAB3860) is a high-quality antibody developed for reliable detection and analysis of target proteins. This antibody, produced in rabbits, exhibits high reactivity with human samples and is validated for use in Western blot applications. By binding specifically to the FDXR protein, this antibody enables detection and analysis in a variety of cell types, making it ideal for investigations in molecular biology, genomics, and cancer research.FDXR, also known as ferredoxin reductase, plays a crucial role in cellular processes that protect DNA from damage and maintain the integrity of the genome.
This antibody is validated for use in WB, ELISA applications and has demonstrated reactivity against Human, Mouse, Rat samples.
Product Name:
FDXR Antibody
SKU:
CAB3860
Size:
20μL, 100μL
Reactivity:
Human, Mouse, Rat
Conjugate:
Unconjugated
Immunogen:
Recombinant protein (or fragment).This information is considered to be commercially sensitive.
Recommended starting concentration is 1 μg/mL. Please optimize the concentration based on your specific assay requirements.
Synonyms:
ADR, ADXR, ANOA, FDXR
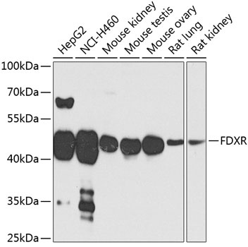
Positive Sample:
HepG2, NCI-H460, Mouse kidney, Mouse testis, Mouse ovary, Rat lung, Rat kidney
Cellular Localization:
Mitochondrion Matrix.
Calculated MW:
54kDa
Observed MW:
45kDa
This gene encodes a mitochondrial flavoprotein that initiates electron transport for cytochromes P450 receiving electrons from NADPH. Multiple alternatively spliced transcript variants have been found for this gene.
Purification Method
Affinity purification
Gene ID
2232
RRID
AB_2765346
Buffer Information
Store at -20℃. Avoid freeze / thaw cycles. Buffer: PBS containing 50% glycerol, preserved with proclin300 or sodium azide, pH 7.3.
Western blot analysis of various lysates using FDXR Rabbit pAb (CAB3860) at 1:1000 dilution._Secondary antibody: HRP-conjugated Goat anti-Rabbit IgG (H+L) (CABS014) at 1:10000 dilution._Lysates/proteins: 25μg per lane._Blocking buffer: 3% nonfat dry milk in TBST._Detection: ECL Enhanced Kit (AbGn00021)._Exposure time: 30s.