The GOLGA1 Antibody (CAB14688) is a high-quality antibody developed for reliable detection and analysis of target proteins. Golga1, also known as Golgin-97, is a Golgi matrix protein involved in maintaining Golgi structure and mediating protein trafficking within the cell.This antibody, produced in rabbits, is highly specific for Golga1 in various cell types and species, making it an excellent choice for immunofluorescence, immunohistochemistry, and Western blot applications. By detecting Golga1 protein expression and localization, researchers can gain insights into Golgi organization and its role in protein sorting and secretion pathways.
This antibody is validated for use in WB, IF/ICC, ELISA applications and has demonstrated reactivity against Human, Mouse, Rat samples.
Product Name:
GOLGA1 Antibody
SKU:
CAB14688
Size:
20μL, 100μL
Reactivity:
Human, Mouse, Rat
Conjugate:
Unconjugated
Immunogen:
Recombinant protein (or fragment).This information is considered to be commercially sensitive.
The Golgi apparatus, which participates in glycosylation and transport of proteins and lipids in the secretory pathway, consists of a series of stacked cisternae (flattened membrane sacs). Interactions between the Golgi and microtubules are thought to be important for the reorganization of the Golgi after it fragments during mitosis. This gene encodes one of the golgins, a family of proteins localized to the Golgi. This encoded protein is associated with Sjogren's syndrome.
Purification Method
Affinity purification
Gene ID
2800
RRID
AB_2761563
Buffer Information
Store at -20℃. Avoid freeze / thaw cycles. Buffer: PBS with 0.01% thimerosal,50% glycerol,pH7.3.
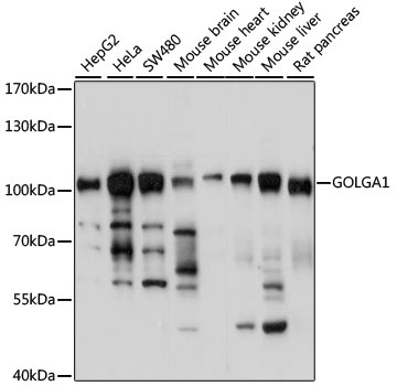
Western blot analysis of various lysates using GOLGA1 Rabbit pAb (CAB14688) at 1:1000 dilution. Secondary antibody: HRP-conjugated Goat anti-Rabbit IgG (H+L) (CABS014) at 1:10000 dilution. Lysates/proteins: 25μg per lane. Blocking buffer: 3% nonfat dry milk in TBST. Detection: ECL Basic Kit (AbGn00020). Exposure time: 3s.
Immunofluorescence analysis of HepG2 cells using GOLGA1 Rabbit pAb (CAB14688) at dilution of 1:150. Secondary antibody: Cy3-conjugated Goat anti-Rabbit IgG (H+L) (CABS007) at 1:500 dilution. Blue: DAPI for nuclear staining.