The HIP1R Antibody (CAB12026) is a high-quality antibody developed for reliable detection and analysis of target proteins. The antibody, also raised in rabbits, has high reactivity with human samples and is validated for use in various applications, including Western blot and immunofluorescence.HIP1R plays a crucial role in the maintenance of cellular homeostasis by controlling endocytosis and intracellular trafficking processes. Its involvement in cell signaling pathways makes it a promising candidate for research in cancer biology, neurodegenerative diseases, and other conditions related to cellular dysfunction.
This antibody is validated for use in WB, IF/ICC, ELISA applications and has demonstrated reactivity against Human, Mouse, Rat samples.
Product Name:
HIP1R Antibody
SKU:
CAB12026
Size:
20μL, 100μL
Reactivity:
Human, Mouse, Rat
Conjugate:
Unconjugated
Immunogen:
Recombinant protein (or fragment).This information is considered to be commercially sensitive.
Enables several functions, including phosphatidylinositol phosphate binding activity; phosphatidylinositol-3,4-bisphosphate binding activity; and protein homodimerization activity. Involved in several processes, including positive regulation of signal transduction; protein stabilization; and regulation of organelle organization. Located in clathrin-coated vesicle; cytosol; and ruffle membrane.
Purification Method
Affinity purification
Gene ID
9026
RRID
AB_2758936
Buffer Information
Store at -20℃. Avoid freeze / thaw cycles. Buffer: PBS with 0.01% thimerosal,50% glycerol,pH7.3.
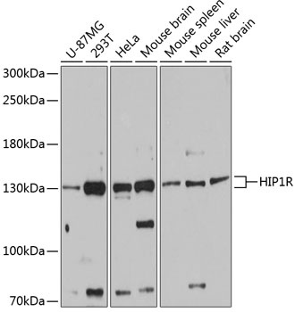
Western blot analysis of various lysates using HIP1R Rabbit pAb (CAB12026) at 1:3000 dilution. Secondary antibody: HRP-conjugated Goat anti-Rabbit IgG (H+L) (CABS014) at 1:10000 dilution. Lysates/proteins: 25μg per lane. Blocking buffer: 3% nonfat dry milk in TBST. Detection: ECL Basic Kit (AbGn00020). Exposure time: 60s.