The HSPB7 Antibody (CAB18450) is a high-quality antibody developed for reliable detection and analysis of target proteins. This rabbit polyclonal antibody is highly specific for detecting HSPB7 in human samples and is validated for use in Western blot applications. By binding to HSPB7, this antibody allows for precise detection and analysis of the protein in various cell types, making it an ideal choice for studies in molecular biology and cellular stress response.HSPB7 is a member of the small heat shock protein family and is known for its role in maintaining cell homeostasis under conditions of stress, such as heat or oxidative stress.
This antibody is validated for use in WB, IHC-P, ELISA applications and has demonstrated reactivity against Human, Mouse, Rat samples.
Product Name:
HSPB7 Antibody
SKU:
CAB18450
Size:
20μL, 100μL
Reactivity:
Human, Mouse, Rat
Immunogen:
Recombinant protein (or fragment).This information is considered to be commercially sensitive.
This gene encodes a small heat shock family B member that can heterodimerize with similar heat shock proteins. Defects in this gene are associated with advanced heart failure. In addition, the encoded protein may be a tumor suppressor in the p53 pathway, with defects in this gene being associated with renal cell carcinoma.
Purification Method
Affinity purification
Gene ID
27129
RRID
AB_2862217
Buffer Information
Store at -20℃. Avoid freeze / thaw cycles. Buffer: PBS with 0.01% thimerosal,50% glycerol,pH7.3.
Western blot analysis of various lysates using HSPB7 Rabbit pAb (CAB18450) at 1:1000 dilution. Secondary antibody: HRP-conjugated Goat anti-Rabbit IgG (H+L) (CABS014) at 1:10000 dilution. Lysates/proteins: 25μg per lane. Blocking buffer: 3% nonfat dry milk in TBST. Detection: ECL Basic Kit (AbGn00020). Exposure time: 90s.
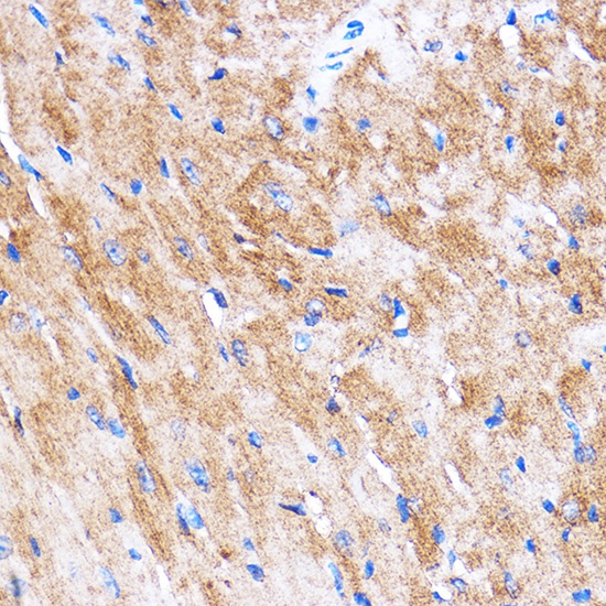
Immunohistochemistry analysis of paraffin-embedded Mouse heart using HSPB7 Rabbit pAb (CAB18450) at dilution of 1:100 (40x lens). Microwave antigen retrieval performed with 0.01M PBS Buffer (pH 7.2) prior to IHC staining.
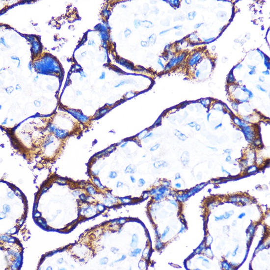
Immunohistochemistry analysis of paraffin-embedded Human placenta using HSPB7 Rabbit pAb (CAB18450) at dilution of 1:100 (40x lens). Microwave antigen retrieval performed with 0.01M PBS Buffer (pH 7.2) prior to IHC staining.