The IKKepsilon Monoclonal Antibody (CAB3463) is a high-quality antibody developed for reliable detection and analysis of target proteins. This antibody is highly specific and sensitive for detecting IKKEpsilon in human samples, making it an essential tool for immunology and cancer research.IKKEpsilon, also known as IkappaB kinase epsilon, is a key player in the NF-kappaB signaling pathway, which is responsible for regulating immune and inflammatory responses. Dysregulation of IKKEpsilon has been linked to various diseases, including cancer, autoimmune disorders, and inflammatory conditions, making it a promising therapeutic target.The IKKEpsilon Rabbit Monoclonal Antibody enables precise detection and analysis of IKKEpsilon in various cell types, providing valuable insights into its role in immune regulation and disease pathology.
This antibody is validated for use in WB, IHC-P, ELISA applications and has demonstrated reactivity against Human, Mouse, Rat samples.
Product Name:
IKKepsilon Monoclonal Antibody
SKU:
CAB3463
Size:
20μL, 100μL
Reactivity:
Human, Mouse, Rat
Clone Number:
ARC0781
Conjugate:
Unconjugated
Immunogen:
Synthetic peptide. This information is considered to be commercially sensitive.
Recommended starting concentration is 1 μg/mL. Please optimize the concentration based on your specific assay requirements.
Synonyms:
IKKE, IKKI, IKK-E, IKK-i, IKKε
Positive Sample:
Mouse lung, Rat lung
Cellular Localization:
Cytoplasm, Nucleus.
Calculated MW:
80kDa
Observed MW:
80kDa
IKBKE is a noncanonical I-kappa-B (see MIM 164008) kinase (IKK) that is essential for regulating antiviral signaling pathways. IKBKE has also been identified as a breast cancer (MIM 114480) oncogene and is amplified and overexpressed in over 30% of breast carcinomas and breast cancer cell lines (Hutti et al., 2009 [PubMed 19481526]).
Purification Method
Affinity purification
Gene ID
9641
RRID
AB_2863064
Buffer Information
Store at -20℃. Avoid freeze / thaw cycles. Buffer: PBS containing 50% glycerol and 0.05% BSA, preserved with proclin300 or sodium azide, pH 7.3.
Western blot analysis of various lysates using IKKε Rabbit mAb (CAB3463) at 1:1000 dilution. Secondary antibody: HRP-conjugated Goat anti-Rabbit IgG (H+L) (CABS014) at 1:10000 dilution. Lysates/proteins: 25μg per lane. Blocking buffer: 3% nonfat dry milk in TBST. Detection: ECL Basic Kit (AbGn00020). Exposure time: 30s.
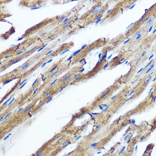
Immunohistochemistry analysis of paraffin-embedded Mouse heart using IKKε Rabbit mAb (CAB3463) at dilution of 1:100 (40x lens). Microwave antigen retrieval performed with 0.01M PBS Buffer (pH 7.2) prior to IHC staining.
Immunohistochemistry analysis of paraffin-embedded Human tonsil tissue using IKKε Rabbit mAb (CAB3463) at a dilution of 1:200 (40x lens). High pressure antigen retrieval performed with 0.01M Citrate buffer (pH 6.0) prior to IHC staining.
Immunohistochemistry analysis of paraffin-embedded Rat colon tissue using IKKε Rabbit mAb (CAB3463) at a dilution of 1:200 (40x lens). High pressure antigen retrieval performed with 0.01M Citrate buffer (pH 6.0) prior to IHC staining.