The Islet1 Monoclonal Antibody (CAB0871) is a high-quality antibody developed for reliable detection and analysis of target proteins. This antibody, produced in rabbits, is perfectly suited for various applications including immunofluorescence, immunohistochemistry, and flow cytometry.Islet1, also known as Isl-1, plays a pivotal role in the regulation of pancreatic development and the differentiation of insulin-producing beta cells. It is essential for proper insulin secretion and glucose homeostasis, making it a key target for studies in diabetes research and regenerative medicine.
This antibody is validated for use in WB, IHC-P, ELISA applications and has demonstrated reactivity against Human, Mouse samples.
Product Name:
Islet1 Monoclonal Antibody
SKU:
CAB0871
Size:
20μL, 100μL
Reactivity:
Human, Mouse
Clone Number:
ARC0511
Conjugate:
Unconjugated
Immunogen:
Synthetic peptide. This information is considered to be commercially sensitive.
Recommended starting concentration is 1 μg/mL. Please optimize the concentration based on your specific assay requirements.
Synonyms:
Isl-1, ISLET1, Islet1
Positive Sample:
SH-SY5Y
Cellular Localization:
Nucleus.
Calculated MW:
39kDa
Observed MW:
39-45kDa
This gene encodes a member of the LIM/homeodomain family of transcription factors. The encoded protein binds to the enhancer region of the insulin gene, among others, and may play an important role in regulating insulin gene expression. The encoded protein is central to the development of pancreatic cell lineages and may also be required for motor neuron generation. Mutations in this gene have been associated with maturity-onset diabetes of the young.
Purification Method
Affinity purification
Gene ID
3670
RRID
AB_2861484
Buffer Information
Store at -20℃. Avoid freeze / thaw cycles. Buffer: PBS containing 50% glycerol and 0.05% BSA, preserved with proclin300 or sodium azide, pH 7.3.
Western blot analysis of lysates from SH-SY5Y cells using Islet1 Rabbit mAb (CAB0871) at 1:5000 dilution incubated overnight at 4℃. Secondary antibody: HRP-conjugated Goat anti-Rabbit IgG (H+L) (CABS014) at 1:10000 dilution. Lysates/proteins: 25 μg per lane. Blocking buffer: 3% nonfat dry milk in TBST. Detection: ECL Basic Kit (AbGn00020). Exposure time: 10 s.
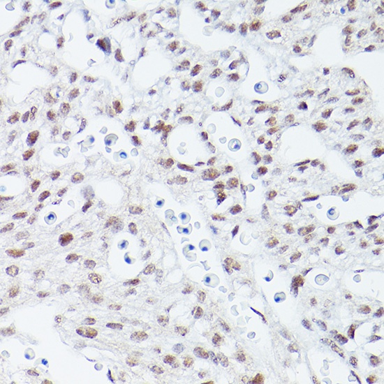
Immunohistochemistry analysis of paraffin-embedded Mouse fetal Heart using Islet1 Rabbit mAb (CAB0871) at dilution of 1:100 (40x lens). High pressure antigen retrieval performed with 0.01M Citrate buffer (pH 6.0) prior to IHC staining.