The MMP11 Monoclonal Antibody (CAB11088) is a high-quality antibody developed for reliable detection and analysis of target proteins. This antibody is raised in rabbits and is highly specific for detecting MMP11 in human samples. Validated for use in Western blot applications, the MMP11 Rabbit Monoclonal Antibody binds specifically to MMP11, enabling accurate detection and analysis in various cell types. This makes it an ideal tool for studying the role of MMP11 in processes such as cell migration, tissue repair, and tumor metastasis.MMP11 is known to play a crucial role in cancer progression and metastasis, making it a valuable target for research in oncology.
This antibody is validated for use in WB, ELISA applications and has demonstrated reactivity against Human, Mouse, Rat samples.
Product Name:
MMP11 Monoclonal Antibody
SKU:
CAB11088
Size:
20μL, 100μL
Reactivity:
Human, Mouse, Rat
Clone Number:
ARC0523
Conjugate:
Unconjugated
Immunogen:
Synthetic peptide. This information is considered to be commercially sensitive.
Proteins of the matrix metalloproteinase (MMP) family are involved in the breakdown of extracellular matrix in normal physiological processes, such as embryonic development, reproduction, and tissue remodeling, as well as in disease processes, such as arthritis and metastasis. Most MMP's are secreted as inactive proproteins which are activated when cleaved by extracellular proteinases. However, the enzyme encoded by this gene is activated intracellularly by furin within the constitutive secretory pathway. Also in contrast to other MMP's, this enzyme cleaves alpha 1-proteinase inhibitor but weakly degrades structural proteins of the extracellular matrix.
Purification Method
Affinity purification
Gene ID
4320
RRID
AB_2861501
Buffer Information
Store at -20℃. Avoid freeze / thaw cycles. Buffer: PBS containing 50% glycerol and 0.05% BSA, preserved with proclin300 or sodium azide, pH 7.3.
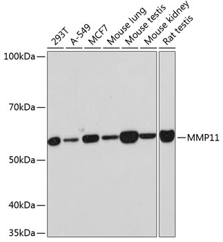
Western blot analysis of various lysates using MMP11 Rabbit mAb (CAB11088) at 1:1000 dilution. Secondary antibody: HRP-conjugated Goat anti-Rabbit IgG (H+L) (CABS014) at 1:10000 dilution. Lysates/proteins: 25μg per lane. Blocking buffer: 3% nonfat dry milk in TBST. Detection: ECL Basic Kit (AbGn00020). Exposure time: 30s.