The NOXA2/p67phox Monoclonal Antibody (CAB3703) is a high-quality antibody developed for reliable detection and analysis of target proteins. This antibody, developed using rabbit monoclonal technology, exhibits high specificity and sensitivity in detecting Noxa2 in human samples, making it ideal for use in various applications such as Western blotting.Noxa2, also known as p67phox, plays a crucial role in the innate immune response by promoting the assembly of the NADPH oxidase complex, which is vital for microbicidal activity in phagocytic cells. Dysregulation of Noxa2 activity has been implicated in various inflammatory and autoimmune diseases, as well as in the progression of cancer.
This antibody is validated for use in WB, IHC-P, ELISA applications and has demonstrated reactivity against Mouse, Rat samples.
Product Name:
NOXA2/p67phox Monoclonal Antibody
SKU:
CAB3703
Size:
20μL, 100μL
Reactivity:
Mouse, Rat
Clone Number:
ARC0828
Conjugate:
Unconjugated
Immunogen:
Recombinant protein (or fragment).This information is considered to be commercially sensitive.
Sequence:
GKAT VVAS VVDQ DSFS GFAP LQPQ AAEP PPRP KTPE IFRA LEGE AHRV LFGF VPET KEEL QVMP GNIV FVLK KGND NWAT VMFN GQKG LVPC NYLE PVEL R
Tested Applications:
WBIHC-PELISA
Recommended Dilution:
WB
1:500 - 1:1000
IHC-P
1:50 - 1:200
ELISA
Recommended starting concentration is 1 μg/mL. Please optimize the concentration based on your specific assay requirements.
Synonyms:
NCF-2, NOXA2, P67PHOX, P67-PHOX, NOXA2/p67phox
Positive Sample:
Mouse lung, Rat lung
Cellular Localization:
Cytoplasm.
Calculated MW:
60kDa
Observed MW:
70kDa
This gene encodes neutrophil cytosolic factor 2, the 67-kilodalton cytosolic subunit of the multi-protein NADPH oxidase complex found in neutrophils. This oxidase produces a burst of superoxide which is delivered to the lumen of the neutrophil phagosome. Mutations in this gene, as well as in other NADPH oxidase subunits, can result in chronic granulomatous disease, a disease that causes recurrent infections by catalase-positive organisms. Alternative splicing results in multiple transcript variants encoding different isoforms.
Purification Method
Affinity purification
Gene ID
4688
RRID
AB_2863125
Buffer Information
Store at -20℃. Avoid freeze / thaw cycles. Buffer: PBS containing 50% glycerol and 0.05% BSA, preserved with proclin300 or sodium azide, pH 7.3.
Western blot analysis of various lysates using NOXA2/p67phox Rabbit mAb (CAB3703) at 1:1000 dilution. Secondary antibody: HRP-conjugated Goat anti-Rabbit IgG (H+L) (CABS014) at 1:10000 dilution. Lysates/proteins: 25μg per lane. Blocking buffer: 3% nonfat dry milk in TBST. Detection: ECL Basic Kit (AbGn00020). Exposure time: 30s.
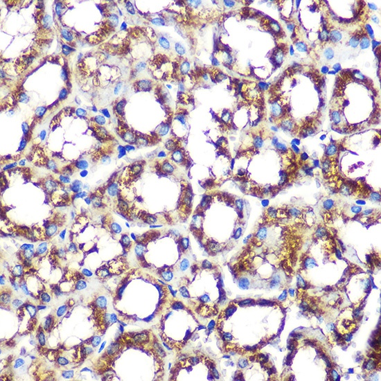
Immunohistochemistry analysis of paraffin-embedded Mouse kidney using NOXA2/p67phox Rabbit mAb (CAB3703) at dilution of 1:100 (40x lens). Microwave antigen retrieval performed with 0.01M PBS Buffer (pH 7.2) prior to IHC staining.