Phospho-Ets1 (Thr38) Antibody is a premium polyclonal that offers outstanding performance and reliability for demanding research applications. Rigorously validated for ELISA, WB, IHC, IF, this antibody ensures consistent, reproducible results across multiple experimental platforms. Demonstrates excellent reactivity with Human, Mouse samples, providing researchers with confidence in cross-species compatibility. Conveniently packaged in 100ul format to meet your experimental needs. For optimal performance, store at -20°C or -80°C and maintains stability for 12 months. Backed by rigorous quality control testing to ensure superior performance in your critical research applications.
Product Name:
Phospho-Ets1 (Thr38) Antibody
SKU:
PACO24525
Size:
100μl
Host Species:
Rabbit
Reactivity:
Human, Mouse
Immunogen:
Peptide sequence around phosphorylation site of threonine 38(L-L-T(p)-P-S) derived from Human ETS1 .
Immunogen Species:
Mus musculus (Mouse)
Uniprot No:
P27577
Form:
Rabbit IgG in phosphate buffered saline (without Mg2+ and Ca2+), pH 7.4, 150mM NaCl, 0.02% sodium azide and 50% glycerol.
Antibodies were produced by immunizing rabbits with synthetic phosphopeptide and KLH conjugates. Antibodies were purified by affinity-chromatography using epitope-specific phosphopeptide. Non-phospho specific antibodies were removed by chromatogramphy usi
Clonality:
Polyclonal
Conjugate:
Non-conjugated
Western blot analysis of extracts from HepG2 cells using ETS1 (Phospho-Thr38) Antibody.The lane on the right is treated with the antigen-specific peptide.
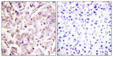
Immunohistochemical analysis of paraffin-embedded human breast carcinoma tissue, using ETS1 (Phospho-Thr38) antibody (left)or the same antibody preincubated with blocking peptide (right).
Immunofluorescence staining of methanol-fixed HeLa cells using ETS1 (Phospho-Thr38) Antibody.