The Phospho-PPP1CA-T320 Antibody (CABP0786) is a high-quality antibody developed for reliable detection and analysis of target proteins. The protein encoded by this gene is one of the three catalytic subunits of protein phosphatase 1 (PP1). This broadly expressed gene encodes the alpha subunit of the PP1 complex that associates with over 200 regulatory proteins to form holoenzymes which dephosphorylate their biological targets with high specificity. PP1 is a serine/threonine specific protein phosphatase known to be involved in the regulation of a variety of cellular processes, such as cell division, glycogen metabolism, muscle contractility, protein synthesis, and HIV-1 viral transcription. Increased PP1 activity has been observed in the end stage of heart failure. Studies suggest that PP1 is an important regulator of cardiac function and that PP1 deregulation is implicated in diabetes and multiple types of cancer. Three alternatively spliced transcript variants encoding different isoforms have been found for this gene.
This antibody is validated for use in WB, IHC-P, ELISA applications and has demonstrated reactivity against Human, Mouse, Rat samples.
Product Name:
Phospho-PPP1CA-T320 Antibody
SKU:
CABP0786
Size:
100μL, 20μL
Reactivity:
Human, Mouse, Rat
Conjugate:
Unconjugated
Immunogen:
Synthetic peptide. This information is considered to be commercially sensitive.
Tested Applications:
WBIHC-PELISA
Recommended Dilution:
WB
1:500 - 1:2000
IHC-P
1:50 - 1:100
ELISA
Recommended starting concentration is 1 μg/mL. Please optimize the concentration based on your specific assay requirements.
Synonyms:
PP1A, PP-1A, PPP1A, PP1alpha, Phospho-PPP1CA-T320
Positive Sample:
C6 treated with Calyculin A, NIH/3T3 treated with Calyculin A, HeLa treated with FBS
Cellular Localization:
Cytoplasm, Nucleus, Nucleolus, Nucleoplasm.
Calculated MW:
38kDa
Observed MW:
38kDa
The protein encoded by this gene is one of the three catalytic subunits of protein phosphatase 1 (PP1). This broadly expressed gene encodes the alpha subunit of the PP1 complex that associates with over 200 regulatory proteins to form holoenzymes which dephosphorylate their biological targets with high specificity. PP1 is a serine/threonine specific protein phosphatase known to be involved in the regulation of a variety of cellular processes, such as cell division, glycogen metabolism, muscle contractility, protein synthesis, and HIV-1 viral transcription. Increased PP1 activity has been observed in the end stage of heart failure. Studies suggest that PP1 is an important regulator of cardiac function and that PP1 deregulation is implicated in diabetes and multiple types of cancer. Three alternatively spliced transcript variants encoding different isoforms have been found for this gene.
Purification Method
Affinity purification
Gene ID
5499
RRID
AB_2771445
Buffer Information
Store at -20℃. Avoid freeze / thaw cycles. Buffer: PBS containing 50% glycerol, preserved with proclin300 or sodium azide, pH 7.3.
Western blot analysis of lysates from NIH/3T3 cells using Phospho-PPP1CA-T320 Rabbit pAb (CABP0786) at 1:500 dilution. NIH/3T3 cells were treated with Calyculin A (100 nM) at 37℃ for 30 minutes after serum-starvation overnight. Secondary antibody: HRP-conjugated Goat anti-Rabbit IgG (H+L) (AS014) at 1:10000 dilution. Lysates/proteins: 25 μg per lane. Blocking buffer: 3% nonfat dry milk in TBST. Detection: ECL Basic Kit (AbGn00020). Exposure time: 60s.
Western blot analysis of lysates from HeLa cells using Phospho-PPP1CA-T320 Rabbit pAb (CABP0786) at 1:500 dilution. HeLa cells were treated with 10% FBS at 37℃ for 30 minutes after serum-starvation overnight. Secondary antibody: HRP-conjugated Goat anti-Rabbit IgG (H+L) (AS014) at 1:10000 dilution. Lysates/proteins: 25 μg per lane. Blocking buffer: 3% nonfat dry milk in TBST. Detection: ECL Enhanced Kit (AbGn00021). Exposure time: 30s.
Immunohistochemistry analysis of paraffin-embedded Rat lung using Phospho-PPP1CA-T320 Rabbit pAb (CABP0786) at dilution of 1:100 (40x lens). Microwave antigen retrieval performed with 0.01M Tris/EDTA Buffer (pH 9.0) prior to IHC staining.
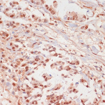
Immunohistochemistry analysis of paraffin-embedded Human gastric cancer using Phospho-PPP1CA-T320 Rabbit pAb (CABP0786) at dilution of 1:100 (40x lens). Microwave antigen retrieval performed with 0.01M Tris/EDTA Buffer (pH 9.0) prior to IHC staining.