The Phospho-PRKDC-S2056 Antibody (CABP0621) is a high-quality antibody developed for reliable detection and analysis of target proteins. This gene encodes the catalytic subunit of the DNA-dependent protein kinase (DNA-PK). It functions with the Ku70/Ku80 heterodimer protein in DNA double strand break repair and recombination. The protein encoded is a member of the PI3/PI4-kinase family. RRID AB_2771465 Gene ID 5591 Swiss Prot Synonym HYRC; p350; DNAPK; DNPK1; HYRC1; IMD26; XRCC7; DNAPKc; DNA-PKC; DNA-PKcs; Phospho-DNA-PKcs-S2056
This antibody is validated for use in WB, IHC-P, IF/ICC, ELISA applications and has demonstrated reactivity against Human samples.
Product Name:
Phospho-PRKDC-S2056 Antibody
SKU:
CABP0621
Size:
100μL, 20μL
Reactivity:
Human
Clone Number:
-
Conjugate:
Unconjugated
Immunogen:
Synthetic peptide. This information is considered to be commercially sensitive.
Tested Applications:
WBIHC-PIF/ICCELISA
Recommended Dilution:
WB
1:500 - 1:2000
IHC-P
1:100 - 1:500
IF
/
ICC
1:50 - 1:200
ELISA
Recommended starting concentration is 1 μg/mL. Please optimize the concentration based on your specific assay requirements.
This gene encodes the catalytic subunit of the DNA-dependent protein kinase (DNA-PK). It functions with the Ku70/Ku80 heterodimer protein in DNA double strand break repair and recombination. The protein encoded is a member of the PI3/PI4-kinase family. RRID AB_2771465 Gene ID 5591 Swiss Prot Synonym HYRC; p350; DNAPK; DNPK1; HYRC1; IMD26; XRCC7; DNAPKc; DNA-PKC; DNA-PKcs; Phospho-DNA-PKcs-S2056
Purification Method:
Affinity purification
Gene ID:
5591
RRID:
AB_2771465
Buffer Information:
Store at -20℃. Avoid freeze / thaw cycles. Buffer: PBS containing 50% glycerol, preserved with proclin300 or sodium azide, pH 7.3.
Western blot analysis of lysates from HeLa cells, using Phospho-DNA-PKcs-S2056 Rabbit pAb (CABP0621). Secondary antibody: HRP-conjugated Goat anti-Rabbit IgG (H+L) (AS014) at 1:10000 dilution. Lysates/proteins: 25μg per lane. Blocking buffer: 3% BSA.
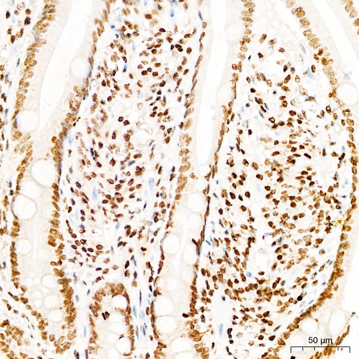
Immunohistochemistry analysis of paraffin-embedded Human small intestine tissue using Phospho-DNA-PKcs-S2056 Rabbit pAb (CABP0621) at a dilution of 1:300 (40x lens). High pressure antigen retrieval was performed with 0.01 M citrate buffer (pH 6.0) prior to IHC staining.