The CTSH Antibody (CAB5368) is a high-quality antibody developed for reliable detection and analysis of target proteins. This antibody, generated in rabbits, exhibits high specificity and sensitivity towards human samples, making it an ideal choice for Western blotting and immunohistochemistry applications.Cathepsin H is a key enzyme in the lysosomal degradation pathway, playing a crucial role in the regulation of protein turnover and cellular homeostasis. Dysregulation of cathepsin H has been implicated in several disease conditions, including cancer, neurodegenerative disorders, and inflammatory diseases.
This antibody is validated for use in WB, ELISA applications and has demonstrated reactivity against Human, Mouse, Rat samples.
Product Name:
CTSH Antibody
SKU:
CAB5368
Size:
20μL, 100μL
Reactivity:
Human, Mouse, Rat
Conjugate:
Unconjugated
Immunogen:
Recombinant protein (or fragment).This information is considered to be commercially sensitive.
Recommended starting concentration is 1 μg/mL. Please optimize the concentration based on your specific assay requirements.
Synonyms:
ACC4, ACC5, CPSB, ACC-4, ACC-5, CTSH
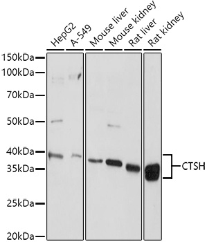
Positive Sample:
HepG2, A-549, Mouse liver, Mouse kidney, Rat liver, Rat kidney
Cellular Localization:
Lysosome.
Calculated MW:
37kDa
Observed MW:
41kDa
The protein encoded by this gene is a lysosomal cysteine proteinase important in the overall degradation of lysosomal proteins. It is composed of a dimer of disulfide-linked heavy and light chains, both produced from a single protein precursor. The encoded protein, which belongs to the peptidase C1 protein family, can act both as an aminopeptidase and as an endopeptidase. Increased expression of this gene has been correlated with malignant progression of prostate tumors. Alternate splicing of this gene results in multiple transcript variants encoding different isoforms.
Purification Method
Affinity purification
Gene ID
1512
RRID
AB_2766178
Buffer Information
Store at -20℃. Avoid freeze / thaw cycles. Buffer: PBS containing 50% glycerol, preserved with proclin300 or sodium azide, pH 7.3.
Western blot analysis of various lysates using CTSH Rabbit pAb (CAB5368) at 1:1000 dilution. Secondary antibody: HRP-conjugated Goat anti-Rabbit IgG (H+L) (CABS014) at 1:10000 dilution. Lysates/proteins: 25μg per lane. Blocking buffer: 3% nonfat dry milk in TBST. Detection: ECL Basic Kit (AbGn00020). Exposure time: 10s.