The PSMA1 Monoclonal Antibody (CAB3460) is a high-quality antibody developed for reliable detection and analysis of target proteins. This antibody, developed using innovative monoclonal technology, exhibits high specificity and sensitivity for detecting PSMA1 in human samples. Validated for use in Western blot applications, this antibody enables precise and accurate detection of PSMA1 in various cell types.PSMA1, also known as the alpha subunit of the proteasome, plays a crucial role in maintaining cellular homeostasis by degrading proteins that are no longer needed or are damaged. Dysregulation of the proteasome system has been implicated in various diseases, including cancer, neurodegenerative disorders, and inflammatory conditions.
This antibody is validated for use in WB, IF/ICC, ELISA applications and has demonstrated reactivity against Human, Mouse, Rat samples.
Product Name:
PSMA1 Monoclonal Antibody
SKU:
CAB3460
Size:
20μL, 100μL
Reactivity:
Human, Mouse, Rat
Clone Number:
ARC0780
Conjugate:
Unconjugated
Immunogen:
Synthetic peptide. This information is considered to be commercially sensitive.
Recommended starting concentration is 1 μg/mL. Please optimize the concentration based on your specific assay requirements.
Synonyms:
NU, HC2, PROS30, HEL-S-275, PSMA1
Positive Sample:
HepG2, MCF7, U-87MG, Mouse liver, Mouse brain, Mouse spleen, Rat liver, Rat brain, Rat spleen
Cellular Localization:
Cytoplasm, Nucleus.
Calculated MW:
30kDa
Observed MW:
30kDa
The proteasome is a multicatalytic proteinase complex with a highly ordered ring-shaped 20S core structure. The core structure is composed of 4 rings of 28 non-identical subunits; 2 rings are composed of 7 alpha subunits and 2 rings are composed of 7 beta subunits. Proteasomes are distributed throughout eukaryotic cells at a high concentration and cleave peptides in an ATP/ubiquitin-dependent process in a non-lysosomal pathway. An essential function of a modified proteasome, the immunoproteasome, is the processing of class I MHC peptides. This gene encodes a member of the peptidase T1A family, that is a 20S core alpha subunit. Alternative splicing results in multiple transcript variants encoding distinct isoforms.
Purification Method
Affinity purification
Gene ID
5682
RRID
AB_2863062
Buffer Information
Store at -20℃. Avoid freeze / thaw cycles. Buffer: PBS containing 50% glycerol and 0.05% BSA, preserved with proclin300 or sodium azide, pH 7.3.
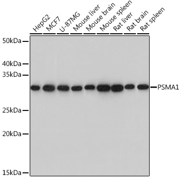
Western blot analysis of various lysates using PSMA1 Rabbit mAb (CAB3460) at 1:1000 dilution. Secondary antibody: HRP-conjugated Goat anti-Rabbit IgG (H+L) (CABS014) at 1:10000 dilution. Lysates/proteins: 25μg per lane. Blocking buffer: 3% nonfat dry milk in TBST. Detection: ECL Basic Kit (AbGn00020). Exposure time: 3s.
Confocal imaging of NIH/3T3 cells using PSMA1 Rabbit mAb (CAB3460, dilution 1:100) followed by a further incubation with Cy3 Goat Anti-Rabbit IgG (H+L) (CABS007, dilution 1:500) (Red). The cells were counterstained with α-Tubulin Mouse mAb (AC012, dilution 1:400) followed by incubation with ABflo® 488-conjugated Goat Anti-Mouse IgG (H+L) Ab (CABS076, dilution 1:500) (Green). DAPI was used for nuclear staining (Blue). Objective: 100x.