The PSMB3 Antibody (CAB9947) is a high-quality antibody developed for reliable detection and analysis of target proteins. This antibody, generated in rabbits, is highly specific to human samples and has been validated for use in Western blot applications. By binding to the PSMB3 protein, this antibody enables the detection and analysis of PSMB3 in various cell types, making it ideal for studies in molecular biology and proteasome function.PSMB3 plays a crucial role in the functioning of the proteasome complex, which is responsible for degrading damaged or misfolded proteins to maintain cellular homeostasis.
This antibody is validated for use in WB, IHC-P, ELISA applications and has demonstrated reactivity against Human, Mouse, Rat samples.
Product Name:
PSMB3 Antibody
SKU:
CAB9947
Size:
20μL, 100μL
Reactivity:
Human, Mouse, Rat
Conjugate:
Unconjugated
Immunogen:
Recombinant protein (or fragment).This information is considered to be commercially sensitive.
Recommended starting concentration is 1 μg/mL. Please optimize the concentration based on your specific assay requirements.
Synonyms:
HC10-II, PSMB3
Positive Sample:
NIH/3T3, MCF7, HeLa, Jurkat, Mouse brain, Rat liver, Rat brain
Cellular Localization:
Cytoplasm, Nucleus.
Calculated MW:
23kDa
Observed MW:
23kDa
The proteasome is a multicatalytic proteinase complex with a highly ordered ring-shaped 20S core structure. The core structure is composed of 4 rings of 28 non-identical subunits; 2 rings are composed of 7 alpha subunits and 2 rings are composed of 7 beta subunits. Proteasomes are distributed throughout eukaryotic cells at a high concentration and cleave peptides in an ATP/ubiquitin-dependent process in a non-lysosomal pathway. An essential function of a modified proteasome, the immunoproteasome, is the processing of class I MHC peptides. This gene encodes a member of the proteasome B-type family, also known as the T1B family, that is a 20S core beta subunit. The 26 S proteasome may be involved in trinucleotide repeat expansion, a phenomenon which is associated with many hereditary neurological diseases. Pseudogenes have been identified on chromosomes 2 and 12. Alternative splicing results in multiple transcript variants
Purification Method
Affinity purification
Gene ID
5691
RRID
AB_2771858
Buffer Information
Store at -20℃. Avoid freeze / thaw cycles. Buffer: PBS containing 50% glycerol, preserved with proclin300 or sodium azide, pH 7.3.
Western blot analysis of various lysates using PSMB3 Rabbit pAb (CAB9947) at 1:1000 dilution. Secondary antibody: HRP-conjugated Goat anti-Rabbit IgG (H+L) (CABS014) at 1:10000 dilution. Lysates/proteins: 25μg per lane. Blocking buffer: 3% nonfat dry milk in TBST. Detection: ECL Basic Kit (AbGn00020). Exposure time: 90s.
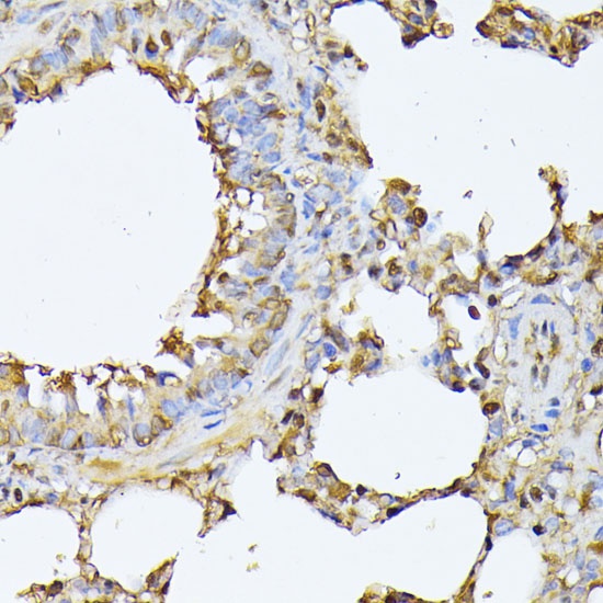
Immunohistochemistry analysis of paraffin-embedded Rat lung using PSMB3 Rabbit pAb (CAB9947) at dilution of 1:100 (40x lens). Microwave antigen retrieval performed with 0.01M PBS Buffer (pH 7.2) prior to IHC staining.
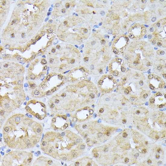
Immunohistochemistry analysis of paraffin-embedded Mouse kidney using PSMB3 Rabbit pAb (CAB9947) at dilution of 1:100 (40x lens). Microwave antigen retrieval performed with 0.01M PBS Buffer (pH 7.2) prior to IHC staining.