The RPL30 Antibody (CAB13690) is a high-quality antibody developed for reliable detection and analysis of target proteins. This antibody, produced in rabbits, exhibits high reactivity towards human samples and is validated for use in Western blot applications. By binding specifically to the RPL30 protein, this antibody enables accurate detection and analysis in a variety of cell types, making it ideal for investigations in molecular biology and cancer research.RPL30 is essential for the assembly and function of the ribosome, the cellular machinery responsible for translating genetic information into proteins.
This antibody is validated for use in WB, IHC-P, IF/ICC, ELISA applications and has demonstrated reactivity against Human, Mouse, Rat samples.
Product Name:
RPL30 Antibody
SKU:
CAB13690
Size:
20μL, 100μL
Reactivity:
Human, Mouse, Rat
Conjugate:
Unconjugated
Immunogen:
Recombinant protein (or fragment).This information is considered to be commercially sensitive.
Ribosomes, the organelles that catalyze protein synthesis, consist of a small 40S subunit and a large 60S subunit. Together these subunits are composed of 4 RNA species and approximately 80 structurally distinct proteins. This gene encodes a ribosomal protein that is a component of the 60S subunit. The protein belongs to the L30E family of ribosomal proteins. It is located in the cytoplasm. This gene is co-transcribed with the U72 small nucleolar RNA gene, which is located in its fourth intron. As is typical for genes encoding ribosomal proteins, there are multiple processed pseudogenes of this gene dispersed through the genome.
Purification Method
Affinity purification
Gene ID
6156
RRID
AB_2760550
Buffer Information
Store at -20℃. Avoid freeze / thaw cycles. Buffer: PBS with 0.01% thimerosal,50% glycerol,pH7.3.
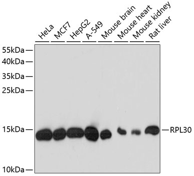
Western blot analysis of various lysates using RPL30 Rabbit pAb (CAB13690) at 1:3000 dilution. Secondary antibody: HRP-conjugated Goat anti-Rabbit IgG (H+L) (CABS014) at 1:10000 dilution. Lysates/proteins: 25μg per lane. Blocking buffer: 3% nonfat dry milk in TBST. Detection: ECL Basic Kit (AbGn00020). Exposure time: 10s.
Immunohistochemistry analysis of paraffin-embedded Rat heart using RPL30 Rabbit pAb (CAB13690) at dilution of 1:100 (40x lens). Microwave antigen retrieval performed with 0.01M PBS Buffer (pH 7.2) prior to IHC staining.
Confocal immunofluorescence analysis of HeLa cells using RPL30 Rabbit pAb (CAB13690) at dilution of 1:200. Blue: DAPI for nuclear staining.