The SSPN Antibody (CAB12191) is a high-quality antibody developed for reliable detection and analysis of target proteins. This antibody, produced in rabbits, demonstrates high reactivity with human samples and has been validated for use in Western blot applications.Sarcospan is a critical component of the dystrophin-glycoprotein complex, which is essential for maintaining the structural integrity of muscle fibers. Dysfunction of sarcospan has been implicated in the pathogenesis of muscular dystrophies and other muscle disorders, making it a promising target for therapeutic interventions.
This antibody is validated for use in WB, ELISA applications and has demonstrated reactivity against Human, Mouse, Rat samples.
Product Name:
SSPN Antibody
SKU:
CAB12191
Size:
20μL, 100μL
Reactivity:
Human, Mouse, Rat
Conjugate:
Unconjugated
Immunogen:
Recombinant protein (or fragment).This information is considered to be commercially sensitive.
This gene encodes a member of the dystrophin-glycoprotein complex (DGC). The DGC spans the sarcolemma and is comprised of dystrophin, syntrophin, alpha- and beta-dystroglycans and sarcoglycans. The DGC provides a structural link between the subsarcolemmal cytoskeleton and the extracellular matrix of muscle cells. Two alternatively spliced transcript variants that encode different protein isoforms have been described.
Purification Method
Affinity purification
Gene ID
8082
RRID
AB_2759073
Buffer Information
Store at -20℃. Avoid freeze / thaw cycles. Buffer: PBS with 0.01% thimerosal,50% glycerol,pH7.3.
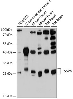
Western blot analysis of various lysates using SSPN Rabbit pAb (CAB12191) at 1:3000 dilution. Secondary antibody: HRP-conjugated Goat anti-Rabbit IgG (H+L) (CABS014) at 1:10000 dilution. Lysates/proteins: 25μg per lane. Blocking buffer: 3% nonfat dry milk in TBST. Detection: ECL Basic Kit (AbGn00020). Exposure time: 90s.