The SENP1 Antibody (CAB13086) is a high-quality antibody developed for reliable detection and analysis of target proteins. Raised in rabbits, this antibody is highly specific to human samples and has been validated for use in Western blotting applications. By targeting the SENP1 protein, researchers can detect and analyze its expression in different cellular contexts, providing insights into its role in cellular processes such as DNA repair, cell cycle regulation, and stress responses.SENP1, a member of the SENP family of proteases, has been shown to play a crucial role in maintaining cellular homeostasis by controlling the dynamics of SUMOylation, a post-translational modification that regulates protein localization, stability, and function.
This antibody is validated for use in WB, IHC-P, ELISA applications and has demonstrated reactivity against Human, Mouse, Rat samples.
Product Name:
SENP1 Antibody
SKU:
CAB13086
Size:
20μL, 100μL
Reactivity:
Human, Mouse, Rat
Conjugate:
Unconjugated
Immunogen:
Recombinant protein (or fragment).This information is considered to be commercially sensitive.
Recommended starting concentration is 1 μg/mL. Please optimize the concentration based on your specific assay requirements.
Synonyms:
SuPr-2, SENP1
Positive Sample:
BxPC-3, HT-29, HepG2, HeLa, Mouse testis, Mouse thymus, Rat testis
Cellular Localization:
Cytoplasm, Nucleus.
Calculated MW:
73kDa
Observed MW:
73kDa
This gene encodes a cysteine protease that specifically targets members of the small ubiquitin-like modifier (SUMO) protein family. This protease regulates SUMO pathways by deconjugating sumoylated proteins. This protease also functions to process the precursor SUMO proteins into their mature form. Alternate splicing results in multiple transcript variants.
Purification Method
Affinity purification
Gene ID
29843
RRID
AB_2759934
Buffer Information
Store at -20℃. Avoid freeze / thaw cycles. Buffer: PBS with 0.01% thimerosal,50% glycerol,pH7.3.
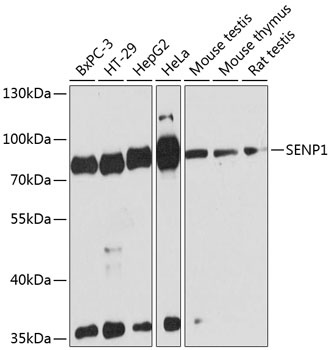
Western blot analysis of various lysates using SENP1 Rabbit pAb (CAB13086) at 1:3000 dilution. Secondary antibody: HRP-conjugated Goat anti-Rabbit IgG (H+L) (CABS014) at 1:10000 dilution. Lysates/proteins: 25μg per lane. Blocking buffer: 3% nonfat dry milk in TBST. Detection: ECL Basic Kit (AbGn00020). Exposure time: 90s.
Immunohistochemistry analysis of paraffin-embedded Mouse testis using SENP1 Rabbit pAb (CAB13086) at dilution of 1:100 (40x lens). Microwave antigen retrieval performed with 0.01M PBS Buffer (pH 7.2) prior to IHC staining.
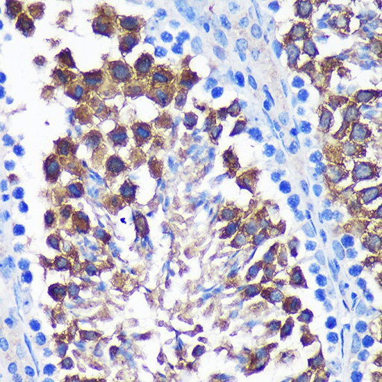
Immunohistochemistry analysis of paraffin-embedded Human liver cancer using SENP1 Rabbit pAb (CAB13086) at dilution of 1:100 (40x lens). Microwave antigen retrieval performed with 0.01M PBS Buffer (pH 7.2) prior to IHC staining.