The SLC16A2 Antibody (CAB3636) is a high-quality antibody developed for reliable detection and analysis of target proteins. This antibody, produced in rabbits, is highly specific to human samples and has been validated for use in Western blot applications.SLC16A2, also referred to as MCT8 (Monocarboxylate transporter 8), is involved in the transport of thyroid hormones and has been linked to conditions such as Allan-Herndon-Dudley syndrome. By targeting the SLC16A2 protein, researchers can study its function in various cell types and explore its potential implications in thyroid hormone transport and related disorders.
This antibody is validated for use in WB, ELISA applications and has demonstrated reactivity against Human, Mouse, Rat samples.
Product Name:
SLC16A2 Antibody
SKU:
CAB3636
Size:
20μL, 100μL
Reactivity:
Human, Mouse, Rat
Conjugate:
Unconjugated
Immunogen:
Recombinant protein (or fragment).This information is considered to be commercially sensitive.
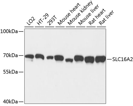
LO2, HT-29, 293T, Mouse heart, Mouse kidney, Mouse liver, Rat heart, Rat liver
Cellular Localization:
Cell Membrane, Multi-Pass Membrane Protein.
Calculated MW:
60kDa
Observed MW:
70kDa
This gene encodes an integral membrane protein that functions as a transporter of thyroid hormone. The encoded protein facilitates the cellular importation of thyroxine (T4), triiodothyronine (T3), reverse triiodothyronine (rT3) and diidothyronine (T2). This gene is expressed in many tissues and likely plays an important role in the development of the central nervous system. Loss of function mutations in this gene are associated with psychomotor retardation in males while females exhibit no neurological defects and more moderate thyroid-deficient phenotypes. This gene is subject to X-chromosome inactivation. Mutations in this gene are the cause of Allan-Herndon-Dudley syndrome.
Purification Method
Affinity purification
Gene ID
6567
RRID
AB_2765196
Buffer Information
Store at -20℃. Avoid freeze / thaw cycles. Buffer: PBS with 0.01% thimerosal,50% glycerol,pH7.3.
Western blot analysis of various lysates using SLC16A2 Rabbit pAb (CAB3636) at 1:3000 dilution. Secondary antibody: HRP-conjugated Goat anti-Rabbit IgG (H+L) (CABS014) at 1:10000 dilution. Lysates/proteins: 25μg per lane. Blocking buffer: 3% nonfat dry milk in TBST. Detection: ECL Basic Kit (AbGn00020). Exposure time: 30s.