The Symmetric DiMethyl-Histone H3-R2 Antibody (CAB2373) is a high-quality antibody developed for reliable detection and analysis of target proteins. This antibody, produced in rabbits, is highly specific to the histone H3 modification at arginine 2 and is validated for use in various applications, including Western blot and immunofluorescence.Histone modifications, such as symmetric dimethylation of histone H3 at arginine 2, play a crucial role in gene expression regulation and chromatin structure. Dysregulation of these modifications has been linked to various diseases, including cancer and developmental disorders.
This antibody is validated for use in WB, IHC-P, IF/ICC, ChIP-seq, ELISA applications and has demonstrated reactivity against Human, Mouse, Rat, Other (Wide Range Predicted) samples.
Product Name:
Symmetric DiMethyl-Histone H3-R2 Antibody
SKU:
CAB2373
Size:
20μL, 100μL
Reactivity:
Human, Mouse, Rat, Other (Wide Range Predicted)
Conjugate:
Unconjugated
Immunogen:
Synthetic peptide. This information is considered to be commercially sensitive.
Sequence:
MART K
Tested Applications:
WBIHC-PIF/ICCChIP-seqELISA
Recommended Dilution:
WB
1:500 - 1:1000
IHC-P
1:50 - 1:200
IF/ICC
1:50 - 1:200
ELISA
Recommended starting concentration is 1 μg/mL. Please optimize the concentration based on your specific assay requirements.
HeLa acid extract, NIH/3T3 acid extract, C6 acid extract, H3 protein
Cellular Localization:
Chromosome, Nucleus.
Calculated MW:
15kDa
Observed MW:
17kDa
Histones are basic nuclear proteins that are responsible for the nucleosome structure of the chromosomal fiber in eukaryotes. Nucleosomes consist of approximately 146 bp of DNA wrapped around a histone octamer composed of pairs of each of the four core histones (H2A, H2B, H3, and H4). The chromatin fiber is further compacted through the interaction of a linker histone, H1, with the DNA between the nucleosomes to form higher order chromatin structures. This gene is intronless and encodes a replication-dependent histone that is a member of the histone H3 family. Transcripts from this gene lack polyA tails; instead, they contain a palindromic termination element. This gene is located separately from the other H3 genes that are in the histone gene cluster on chromosome 6p22-p21.3.
Purification Method
Affinity purification
Gene ID
8290 8350
RRID
AB_2764333
Buffer Information
Store at -20℃. Avoid freeze / thaw cycles. Buffer: PBS containing 50% glycerol, preserved with proclin300 or sodium azide, pH 7.3.
Western blot analysis of various lysates using Symmetric DiMethyl-Histone H3-R2 Rabbit pAb (CAB2373) at 1:1000 dilution. Secondary antibody: HRP-conjugated Goat anti-Rabbit IgG (H+L) (CABS014) at 1:10000 dilution. Lysates/proteins: 25μg per lane. Blocking buffer: 3% nonfat dry milk in TBST. Detection: ECL Basic Kit (AbGn00020). Exposure time: 60s.
Dot-blot analysis of all sorts of methylation peptides using Symmetric DiMethyl-Histone H3-R2 antibody (CAB2373).
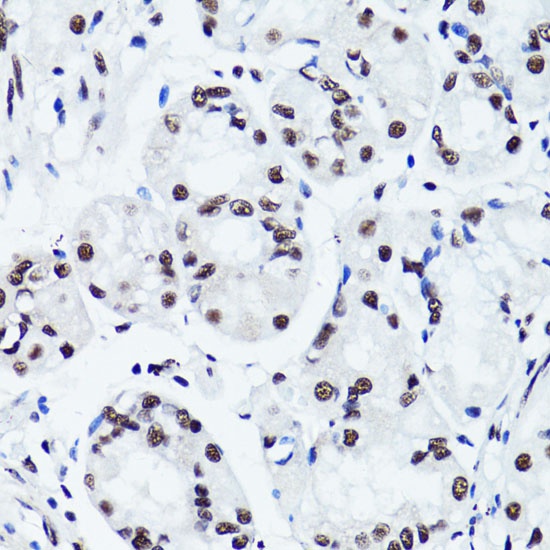
Immunohistochemistry analysis of paraffin-embedded Human stomach using Symmetric DiMethyl-Histone H3-R2 Rabbit pAb (CAB2373) at dilution of 1:100 (40x lens). Microwave antigen retrieval performed with 0.01M PBS Buffer (pH 7.2) prior to IHC staining.
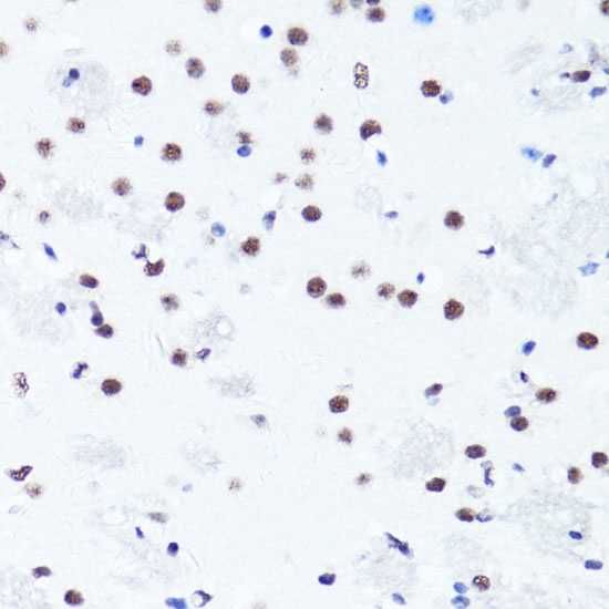
Immunohistochemistry analysis of paraffin-embedded Mouse brain using Symmetric DiMethyl-Histone H3-R2 Rabbit pAb (CAB2373) at dilution of 1:100 (40x lens). Microwave antigen retrieval performed with 0.01M PBS Buffer (pH 7.2) prior to IHC staining.
Immunofluorescence analysis of U2OS cells using Symmetric DiMethyl-Histone H3-R2 Rabbit pAb (CAB2373) at dilution of 1:100 (40x lens). Secondary antibody: Cy3-conjugated Goat anti-Rabbit IgG (H+L) (CABS007) at 1:500 dilution. Blue: DAPI for nuclear staining.