The TCF7 Antibody (CAB3091) is a high-quality antibody developed for reliable detection and analysis of target proteins. This antibody, produced in rabbits, is highly specific for human samples and has been validated for use in Western blot applications.TCF7, also known as T-cell factor 1, is a key player in the Wnt signaling pathway and is essential for regulating gene expression in T cells and other cell types. By targeting the TCF7 protein, this antibody enables researchers to detect and analyze TCF7 expression in different cell types, making it ideal for studies in immunology, stem cell biology, and cancer research.
This antibody is validated for use in WB, ELISA applications and has demonstrated reactivity against Human, Mouse, Rat samples.
Product Name:
TCF7 Antibody
SKU:
CAB3091
Size:
20μL, 100μL
Reactivity:
Human, Mouse, Rat
Conjugate:
Unconjugated
Immunogen:
Synthetic peptide. This information is considered to be commercially sensitive.
Recommended starting concentration is 1 μg/mL. Please optimize the concentration based on your specific assay requirements.
Synonyms:
TCF-1, TCF1/TCF7
Positive Sample:
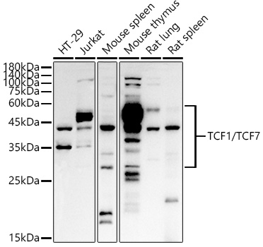
HT-29, Jurkat, Mouse spleen, Mouse thymus, Rat lung, Rat spleen
Cellular Localization:
Nucleus.
Calculated MW:
42kDa
Observed MW:
28-50kDa
This gene encodes a member of the T-cell factor/lymphoid enhancer-binding factor family of high mobility group (HMG) box transcriptional activators. This gene is expressed predominantly in T-cells and plays a critical role in natural killer cell and innate lymphoid cell development. The encoded protein forms a complex with beta-catenin and activates transcription through a Wnt/beta-catenin signaling pathway. Mice with a knockout of this gene are viable and fertile, but display a block in T-lymphocyte differentiation. Alternative splicing results in multiple transcript variants. Naturally-occurring isoforms lacking the N-terminal beta-catenin interaction domain may act as dominant negative regulators of Wnt signaling.
Purification Method
Affinity purification
Gene ID
6932
RRID
AB_2764892
Buffer Information
Store at -20℃. Avoid freeze / thaw cycles. Buffer: PBS containing 50% glycerol, preserved with proclin300 or sodium azide, pH 7.3.
Western blot analysis of various lysates using TCF1/TCF7 Rabbit pAb (CAB3091) at 1:1000 dilution. Secondary antibody: HRP-conjugated Goat anti-Rabbit IgG (H+L) (CABS014) at 1:10000 dilution. Lysates/proteins: 25μg per lane. Blocking buffer: 3% nonfat dry milk in TBST. Detection: ECL Basic Kit (AbGn00020). Exposure time: 60s.