The Thioredoxin 2 (Trx2/TXN2) Monoclonal Antibody (CAB4424) is a high-quality antibody developed for reliable detection and analysis of target proteins. This antibody, generated in rabbits, exhibits high specificity and sensitivity towards thioredoxin-2 in human samples, making it an excellent choice for Western blotting and immunofluorescence studies.Thioredoxin-2 plays a crucial role in maintaining cellular redox balance and protecting against oxidative stress within the mitochondria. Dysregulation of thioredoxin-2 has been linked to various diseases, including cancer, neurodegenerative disorders, and cardiovascular diseases.
This antibody is validated for use in WB, IF/ICC, ELISA applications and has demonstrated reactivity against Human, Mouse, Rat samples.
Product Name:
Thioredoxin 2 (Trx2/TXN2) Monoclonal Antibody
SKU:
CAB4424
Size:
20μL, 100μL
Reactivity:
Human, Mouse, Rat
Clone Number:
ARC1003
Conjugate:
Unconjugated
Immunogen:
Synthetic peptide. This information is considered to be commercially sensitive.
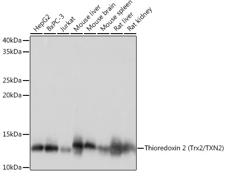
HepG2, BxPC-3, Jurkat, Mouse liver, Mouse brain, Mouse spleen, Rat liver, Rat kidney
Cellular Localization:
Mitochondrion.
Calculated MW:
18kDa
Observed MW:
13kDa
This nuclear gene encodes a mitochondrial member of the thioredoxin family, a group of small multifunctional redox-active proteins. The encoded protein may play important roles in the regulation of the mitochondrial membrane potential and in protection against oxidant-induced apoptosis.
Purification Method
Affinity purification
Gene ID
25828
RRID
AB_2863272
Buffer Information
Store at -20℃. Avoid freeze / thaw cycles. Buffer: PBS containing 50% glycerol and 0.05% BSA, preserved with proclin300 or sodium azide, pH 7.3.
Western blot analysis of various lysates using Thioredoxin 2 (Trx2/TXN2)Rabbit mAb (CAB4424) at 1:1000 dilution. Secondary antibody: HRP-conjugated Goat anti-Rabbit IgG (H+L) (CABS014) at 1:10000 dilution. Lysates/proteins: 25μg per lane. Blocking buffer: 3% nonfat dry milk in TBST. Detection: ECL Basic Kit (AbGn00020). Exposure time: 1s.
Immunofluorescence analysis of NIH-3T3 cells using Thioredoxin 2 (Trx2/TXN2) (Trx2/TXN2) Rabbit mAb (CAB4424) at dilution of 1:100 (40x lens). Secondary antibody: Cy3-conjugated Goat anti-Rabbit IgG (H+L) (CABS007) at 1:500 dilution. Blue: DAPI for nuclear staining.