The TPPP/p25 Monoclonal Antibody (CAB4637) is a high-quality antibody developed for reliable detection and analysis of target proteins. This antibody, produced in rabbits, is highly specific and reactive with human samples, making it a valuable asset for experiments involving TPPP detection and analysis in various cell types.TPPP is a key player in microtubule dynamics and has been implicated in several cellular processes, including cell division and intracellular transport. Its overexpression has been observed in certain types of cancer, making it a potential therapeutic target.
This antibody is validated for use in WB, IHC-P, ELISA applications and has demonstrated reactivity against Mouse, Rat samples.
Product Name:
TPPP/p25 Monoclonal Antibody
SKU:
CAB4637
Size:
20μL, 100μL
Reactivity:
Mouse, Rat
Clone Number:
ARC1129
Conjugate:
Unconjugated
Immunogen:
Synthetic peptide. This information is considered to be commercially sensitive.
Recommended starting concentration is 1 μg/mL. Please optimize the concentration based on your specific assay requirements.
Synonyms:
p24, p25, TPPP1, TPPP/p25, p25alpha
Positive Sample:
Mouse brain, Rat brain
Cellular Localization:
Cytoplasm, Nucleus, Cytoskeleton.
Calculated MW:
24kDa
Observed MW:
26kDa
Enables several functions, including GTPase activity; magnesium ion binding activity; and protein homodimerization activity. Involved in several processes, including microtubule cytoskeleton organization; negative regulation of tubulin deacetylation; and positive regulation of protein polymerization. Located in several cellular components, including mitochondrion; mitotic spindle; and perinuclear region of cytoplasm. Colocalizes with microtubule and microtubule bundle.
Purification Method
Affinity purification
Gene ID
11076
RRID
AB_2863315
Buffer Information
Store at -20℃. Avoid freeze / thaw cycles. Buffer: PBS containing 50% glycerol and 0.05% BSA, preserved with proclin300 or sodium azide, pH 7.3.
Western blot analysis of various lysates using TPPP/p25 Rabbit mAb (CAB4637) at 1:5000 dilution. Secondary antibody: HRP-conjugated Goat anti-Rabbit IgG (H+L) (CABS014) at 1:10000 dilution. Lysates/proteins: 25μg per lane. Blocking buffer: 3% nonfat dry milk in TBST. Detection: ECL Basic Kit (AbGn00020). Exposure time: 3min.
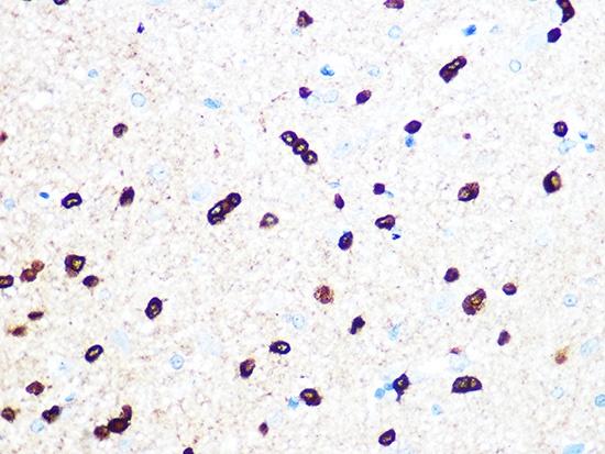
Immunohistochemistry analysis of paraffin-embedded Rat brain using TPPP/p25 Rabbit mAb (CAB4637) at dilution of 1:100 (40x lens). Microwave antigen retrieval performed with 0.01M PBS Buffer (pH 7.2) prior to IHC staining.