TRBV7-9 Antibody is a premium polyclonal that offers outstanding performance and reliability for demanding research applications. Rigorously validated for ELISA, WB, IHC, this antibody ensures consistent, reproducible results across multiple experimental platforms. Demonstrates excellent reactivity with Human samples, providing researchers with confidence in cross-species compatibility. Conveniently packaged in 50ug format to meet your experimental needs. For optimal performance, store at -20°C or -80°C and maintains stability for 12 months. Backed by rigorous quality control testing to ensure superior performance in your critical research applications.
Product Name:
TRBV7-9 Antibody
SKU:
PACO54098
Size:
50μg
Isotype:
IgG
Host Species:
Rabbit
Reactivity:
Human
Immunogen:
Recombinant Human T cell receptor beta variable 7-9 protein (22-115AA)
Immunogen Species:
Homo sapiens (Human)
Uniprot No:
P04435
Form:
Liquid
Tested Applications:
ELISAWBIHC
Recommended Dilution:
Application
Recommended Dilution
WB
1:500-1:5000
IHC
1:20-1:200
Synonyms:
TRBV7-9 antibody, T cell receptor beta variable 7-9 antibody
Western Blot Positive WB detected in: HEK293 whole cell lysate All lanes: TRBV7-9 antibody at 3µg/ml Secondary Goat polyclonal to rabbit IgG at 1/50000 dilution Predicted band size: 14 kDa Observed band size: 14 kDa
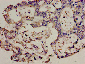
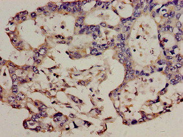
Immunohistochemistry analysis of human pancreatic cancer using PACO54098 at dilution of 1:100
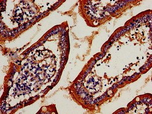
Immunocytochemistry analysis of human small intestine tissue using PACO54098 at dilution of 1:100