The Ube2N/Ubc13 Monoclonal Antibody (CAB9257) is a high-quality antibody developed for reliable detection and analysis of target proteins. This antibody, specifically designed for use in Western blot applications, is highly reactive with human samples and enables the detection and analysis of UBE2N/Ubc13 in various cell types.UBE2N/Ubc13 is an important enzyme involved in the ubiquitination pathway, particularly in the formation of K63-linked polyubiquitin chains.
This antibody is validated for use in WB, IHC-P, IF/ICC, ELISA applications and has demonstrated reactivity against Human, Mouse, Rat samples.
Product Name:
Ube2N/Ubc13 Monoclonal Antibody
SKU:
CAB9257
Size:
20μL, 100μL
Reactivity:
Human, Mouse, Rat
Clone Number:
ARC1495
Conjugate:
Unconjugated
Immunogen:
Synthetic peptide. This information is considered to be commercially sensitive.
HCT 116, 293T, C6, Mouse testis, Mouse brain, Rat testis, Rat brain
Cellular Localization:
Cytoplasm, Nucleus.
Calculated MW:
17kDa
Observed MW:
17kDa
The modification of proteins with ubiquitin is an important cellular mechanism for targeting abnormal or short-lived proteins for degradation. Ubiquitination involves at least three classes of enzymes: ubiquitin-activating enzymes, or E1s, ubiquitin-conjugating enzymes, or E2s, and ubiquitin-protein ligases, or E3s. This gene encodes a member of the E2 ubiquitin-conjugating enzyme family. Studies in mouse suggest that this protein plays a role in DNA postreplication repair.
Purification Method
Affinity purification
Gene ID
7334
RRID
AB_2863696
Buffer Information
Store at -20℃. Avoid freeze / thaw cycles. Buffer: PBS containing 50% glycerol and 0.05% BSA, preserved with proclin300 or sodium azide, pH 7.3.
Western blot analysis of various lysates using Ube2N/Ubc13 Rabbit mAb (CAB9257) at 1:1000 dilution. Secondary antibody: HRP-conjugated Goat anti-Rabbit IgG (H+L) (CABS014) at 1:10000 dilution. Lysates/proteins: 25μg per lane. Blocking buffer: 3% nonfat dry milk in TBST. Detection: ECL Basic Kit (AbGn00020). Exposure time: 30s.
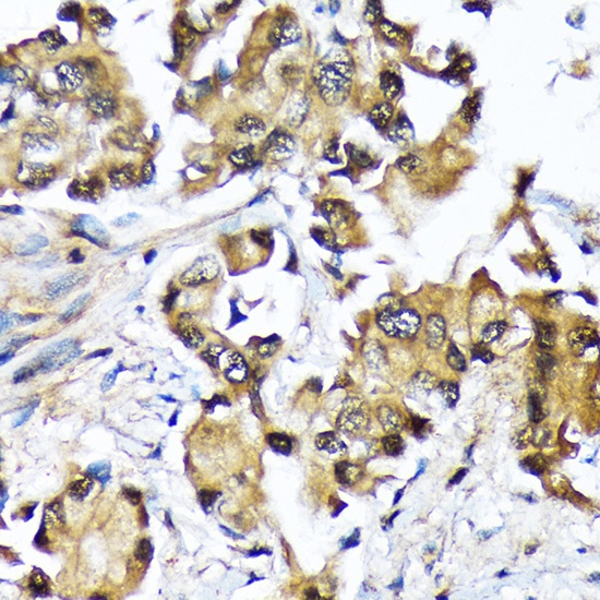
Immunohistochemistry analysis of paraffin-embedded Human lung cancer using Ube2N/Ubc13 Rabbit mAb (CAB9257) at dilution of 1:100 (40x lens). Microwave antigen retrieval performed with 0.01M Tris/EDTA Buffer (pH 9.0) prior to IHC staining.
Immunofluorescence analysis of U-2 OS cells using Ube2N/Ubc13 Rabbit mAb (CAB9257) at dilution of 1:100 (40x lens). Secondary antibody: Cy3-conjugated Goat anti-Rabbit IgG (H+L) (CABS007) at 1:500 dilution. Blue: DAPI for nuclear staining.