The MEKK2 Monoclonal Antibody (CAB19739) is a high-quality antibody developed for reliable detection and analysis of target proteins. This antibody, produced in rabbits, exhibits high reactivity towards human samples and has been validated for use in Western blot applications.MEKK2, also known as mitogen-activated protein kinase kinase kinase 2, is a critical player in the MAPK signaling pathway, which is essential for cellular responses to external stimuli. By targeting MEKK2 with this antibody, researchers can detect and analyze its expression and activity in different cell types, allowing for insights into its role in immune-related processes such as cytokine production and cell proliferation.
This antibody is validated for use in WB, IHC-P, ELISA applications and has demonstrated reactivity against Human, Mouse, Rat samples.
Product Name:
MEKK2 Monoclonal Antibody
SKU:
CAB19739
Size:
20μL, 100μL
Reactivity:
Human, Mouse, Rat
Clone Number:
ARC2291
Conjugate:
Unconjugated
Immunogen:
Synthetic peptide. This information is considered to be commercially sensitive.
Recommended starting concentration is 1 μg/mL. Please optimize the concentration based on your specific assay requirements.
Synonyms:
MEKK2, MEKK2B
Positive Sample:
MCF7, Jurkat, Mouse lung
Cellular Localization:
Cytoplasm, Cytosol, Nucleoplasm.
Calculated MW:
70kDa
Observed MW:
78kDa
The protein encoded by this gene is a member of serine/threonine protein kinase family. This kinase preferentially activates other kinases involved in the MAP kinase signaling pathway. This kinase has been shown to directly phosphorylate and activate Ikappa B kinases, and thus plays a role in NF-kappa B signaling pathway. This kinase has also been found to bind and activate protein kinase C-related kinase 2, which suggests its involvement in a regulated signaling process.
Purification Method
Affinity purification
Gene ID
10746
Buffer Information
Store at -20℃. Avoid freeze / thaw cycles. Buffer: PBS containing 50% glycerol and 0.05% BSA, preserved with proclin300 or sodium azide, pH 7.3.
Western blot analysis of various lysates using MEKK2 Rabbit mAb (CAB19739) at 1:1000 dilution. Secondary antibody: HRP-conjugated Goat anti-Rabbit IgG (H+L) (CABS014) at 1:10000 dilution. Lysates/proteins: 25μg per lane. Blocking buffer: 3% nonfat dry milk in TBST. Detection: ECL Enhanced Kit (AbGn00021). Exposure time: 180s.
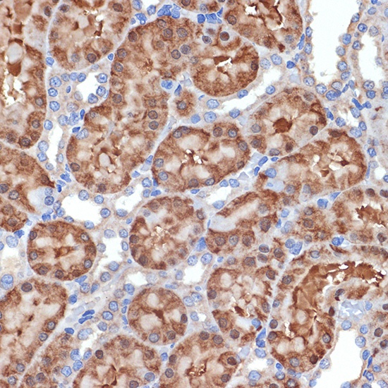
Immunohistochemistry analysis of paraffin-embedded Rat kidney using MEKK2 Rabbit mAb (CAB19739) at dilution of 1:100 (40x lens). Microwave antigen retrieval performed with 0.01M Tris/EDTA Buffer (pH 9.0) prior to IHC staining.