The PP2A alpha + beta Monoclonal Antibody (CAB6175) is a high-quality antibody developed for reliable detection and analysis of target proteins. This polyclonal antibody, generated in rabbits, is highly specific for the alpha and beta isoforms of PP2A in human samples, making it ideal for Western blot applications.PP2A is known to play a crucial role in various signaling pathways, making it a key target for studies in areas such as cancer biology, neurobiology, and metabolism. By detecting and quantifying the alpha and beta isoforms of PP2A, researchers can gain valuable insights into the function and regulation of this important enzyme complex.
This antibody is validated for use in WB, IHC-P, IF/ICC, ELISA applications and has demonstrated reactivity against Human, Mouse, Rat samples.
Product Name:
PP2A alpha + beta Monoclonal Antibody
SKU:
CAB6175
Size:
20μL, 100μL
Reactivity:
Human, Mouse, Rat
Clone Number:
ARC1889
Conjugate:
Unconjugated
Immunogen:
Synthetic peptide. This information is considered to be commercially sensitive.
Recommended starting concentration is 1 μg/mL. Please optimize the concentration based on your specific assay requirements.
Synonyms:
PP2Abeta, PP2CB, PP2A alpha + beta
Positive Sample:
HeLa, 293T, NIH/3T3, Jurkat, C6, Mouse testis, Mouse brain, Rat lung, Rat testis
Cellular Localization:
Cytoplasm, Nucleus.
Calculated MW:
36kDa
Observed MW:
36kDa
This gene encodes the phosphatase 2A catalytic subunit. Protein phosphatase 2A is one of the four major Ser/Thr phosphatases, and it is implicated in the negative control of cell growth and division. It consists of a common heteromeric core enzyme, which is composed of a catalytic subunit and a constant regulatory subunit, that associates with a variety of regulatory subunits. This gene encodes a beta isoform of the catalytic subunit. [provided by RefSeq, Mar 2010]
Purification Method
Affinity purification
Gene ID
5515 5516
RRID
AB_2863527
Buffer Information
Store at -20℃. Avoid freeze / thaw cycles. Buffer: PBS containing 50% glycerol and 0.05% BSA, preserved with proclin300 or sodium azide, pH 7.3.
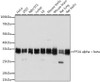
Western blot analysis of various lysates using PP2A alpha/beta Rabbit mAb (CAB6175) at 1:1000 dilution. Secondary antibody: HRP-conjugated Goat anti-Rabbit IgG (H+L) (CABS014) at 1:10000 dilution. Lysates/proteins: 25μg per lane. Blocking buffer: 3% nonfat dry milk in TBST. Detection: ECL Basic Kit (AbGn00020). Exposure time: 3 s.
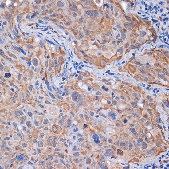
Immunohistochemistry analysis of paraffin-embedded Human lung cancer tissue using PP2A alpha/beta Rabbit mAb (CAB6175) at dilution of 1:100 (40x lens). Microwave antigen retrieval performed with 0.01M Tris/EDTA Buffer (pH 9.0) prior to IHC staining.
Immunofluorescence analysis of NIH/3T3 cells using PP2A alpha/beta Rabbit mAb (CAB6175) at dilution of 1:100 (40x lens). Secondary antibody: Cy3-conjugated Goat anti-Rabbit IgG (H+L) (CABS007) at 1:500 dilution. Blue: DAPI for nuclear staining.
Immunofluorescence analysis of U-2 OS cells using PP2A alpha/beta Rabbit mAb (CAB6175) at dilution of 1:100 (40x lens). Secondary antibody: Cy3-conjugated Goat anti-Rabbit IgG (H+L) (CABS007) at 1:500 dilution. Blue: DAPI for nuclear staining.