The PP2A Catalytic beta Antibody (CAB3122) is a high-quality antibody developed for reliable detection and analysis of target proteins. This enzyme plays a crucial role in regulating cell division, cell growth, and apoptosis. The antibody, produced in rabbits, displays high specificity and sensitivity for detecting PPP2CB in human samples, making it ideal for use in Western blot applications.PPP2CB is known to be involved in various cellular processes, including DNA damage response, cell cycle regulation, and signal transduction pathways. Dysregulation of PPP2CB has been linked to cancer development and progression, making it a potential target for cancer therapy research.
This antibody is validated for use in WB, IHC-P, IF/ICC, ELISA applications and has demonstrated reactivity against Human, Mouse, Rat samples.
Product Name:
PP2A Catalytic beta Antibody
SKU:
CAB3122
Size:
20μL, 100μL
Reactivity:
Human, Mouse, Rat
Conjugate:
Unconjugated
Immunogen:
Recombinant protein (or fragment).This information is considered to be commercially sensitive.
Recommended starting concentration is 1 μg/mL. Please optimize the concentration based on your specific assay requirements.
Synonyms:
PP2CB, PP2Abeta, PP2A Catalytic β
Positive Sample:
LO2, 293T, Mouse brain, Mouse lung, Mouse spleen, Rat liver
Cellular Localization:
Chromosome, Cytoplasm, Nucleus, Centromere, Cytoskeleton, Spindle Pole.
Calculated MW:
36kDa
Observed MW:
36kDa
This gene encodes the phosphatase 2A catalytic subunit. Protein phosphatase 2A is one of the four major Ser/Thr phosphatases, and it is implicated in the negative control of cell growth and division. It consists of a common heteromeric core enzyme, which is composed of a catalytic subunit and a constant regulatory subunit, that associates with a variety of regulatory subunits. This gene encodes a beta isoform of the catalytic subunit.
Purification Method
Affinity purification
Gene ID
5516
RRID
AB_2764919
Buffer Information
Store at -20℃. Avoid freeze / thaw cycles. Buffer: PBS with 0.09% Sodium azide,50% glycerol,pH7.3.
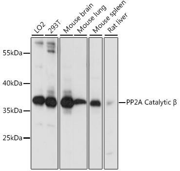
Western blot analysis of various lysates using PP2A Catalytic β Rabbit pAb (CAB3122) at 1:1000 dilution. Secondary antibody: HRP-conjugated Goat anti-Rabbit IgG (H+L) (CABS014) at 1:10000 dilution. Lysates/proteins: 25μg per lane. Blocking buffer: 3% nonfat dry milk in TBST. Detection: ECL Basic Kit (AbGn00020). Exposure time: 30s.
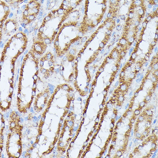
Immunohistochemistry analysis of paraffin-embedded Rat kidney using PP2A Catalytic β Rabbit pAb (CAB3122) at dilution of 1:100 (40x lens). Microwave antigen retrieval performed with 0.01M PBS Buffer (pH 7.2) prior to IHC staining.
Immunohistochemistry analysis of paraffin-embedded Mouse kidney using PP2A Catalytic β Rabbit pAb (CAB3122) at dilution of 1:100 (40x lens). Microwave antigen retrieval performed with 0.01M PBS Buffer (pH 7.2) prior to IHC staining.
Immunofluorescence analysis of U-2 OS cells using PP2A Catalytic β Rabbit pAb (CAB3122) at dilution of 1:100. Secondary antibody: Cy3-conjugated Goat anti-Rabbit IgG (H+L) (CABS007) at 1:500 dilution. Blue: DAPI for nuclear staining.