The PRKAR2B Monoclonal Antibody (CAB19745) is a high-quality antibody developed for reliable detection and analysis of target proteins. The antibody, raised in rabbits, is highly specific and reacts with human PRKAR2B samples, making it ideal for use in Western blot and immunohistochemistry applications. PRKAR2B plays a crucial role in cellular signaling, particularly in regulating processes such as cell growth, metabolism, and gene expression. Dysregulation of PKA signaling has been implicated in a variety of diseases, including cancer, cardiovascular disorders, and neurological conditions.
This antibody is validated for use in WB, IHC-P, ELISA applications and has demonstrated reactivity against Mouse, Rat samples.
Product Name:
PRKAR2B Monoclonal Antibody
SKU:
CAB19745
Size:
20μL, 100μL
Reactivity:
Mouse, Rat
Clone Number:
ARC2272
Conjugate:
Unconjugated
Immunogen:
Synthetic peptide. This information is considered to be commercially sensitive.
Recommended starting concentration is 1 μg/mL. Please optimize the concentration based on your specific assay requirements.
Synonyms:
PRKAR2, RII-BETA, PRKAR2B
Positive Sample:
Mouse brian, Rat brain
Cellular Localization:
Cytoplasm, Cell Membrane.
Calculated MW:
46kDa
Observed MW:
46kDa
cAMP is a signaling molecule important for a variety of cellular functions. cAMP exerts its effects by activating the cAMP-dependent protein kinase, which transduces the signal through phosphorylation of different target proteins. The inactive kinase holoenzyme is a tetramer composed of two regulatory and two catalytic subunits. cAMP causes the dissociation of the inactive holoenzyme into a dimer of regulatory subunits bound to four cAMP and two free monomeric catalytic subunits. Four different regulatory subunits and three catalytic subunits have been identified in humans. The protein encoded by this gene is one of the regulatory subunits. This subunit can be phosphorylated by the activated catalytic subunit. This subunit has been shown to interact with and suppress the transcriptional activity of the cAMP responsive element binding protein 1 (CREB1) in activated T cells. Knockout studies in mice suggest that this subunit may play an important role in regulating energy balance and adiposity. The studies also suggest that this subunit may mediate the gene induction and cataleptic behavior induced by haloperidol.
Purification Method
Affinity purification
Gene ID
5577
Buffer Information
Store at -20℃. Avoid freeze / thaw cycles. Buffer: PBS containing 50% glycerol and 0.05% BSA, preserved with proclin300 or sodium azide, pH 7.3.
Western blot analysis of various lysates using PRKAR2B Rabbit mAb (CAB19745) at 1:1000 dilution. Secondary antibody: HRP-conjugated Goat anti-Rabbit IgG (H+L) (CABS014) at 1:10000 dilution. Lysates/proteins: 25μg per lane. Blocking buffer: 3% nonfat dry milk in TBST. Detection: ECL Basic Kit (AbGn00020). Exposure time: 180s.
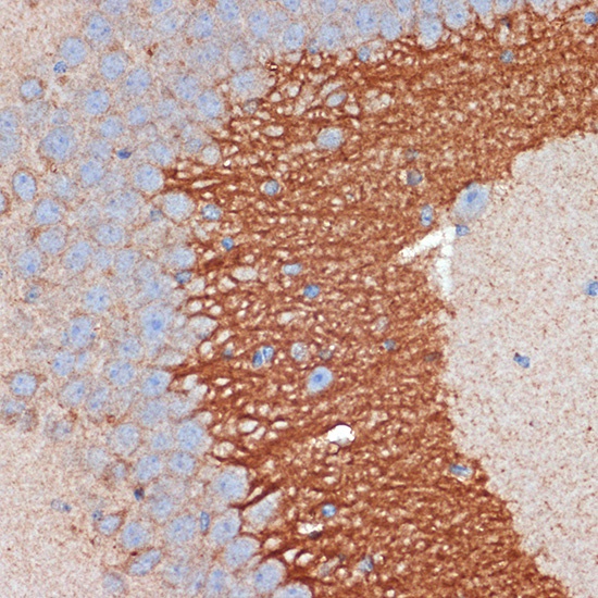
Immunohistochemistry analysis of paraffin-embedded Mouse brain using PRKAR2B Rabbit mAb (CAB19745) at dilution of 1:100 (40x lens). Microwave antigen retrieval performed with 0.01M Tris/EDTA Buffer (pH 9.0) prior to IHC staining.