The ZNF259 Monoclonal Antibody (CAB1487) is a high-quality antibody developed for reliable detection and analysis of target proteins. This antibody, developed using advanced technology, specifically targets ZNF259 and is highly reactive in human samples. With validation for use in Western blot applications, this antibody enables the detection and analysis of ZNF259 in various cell types.ZNF259 is a transcription factor that regulates gene expression, making it essential for understanding cellular pathways and disease mechanisms.
This antibody is validated for use in WB, IHC-P, ELISA applications and has demonstrated reactivity against Human, Mouse samples.
Product Name:
ZNF259 Monoclonal Antibody
SKU:
CAB1487
Size:
20μL, 100μL
Reactivity:
Human, Mouse
Clone Number:
ARC2563
Conjugate:
Unconjugated
Immunogen:
Synthetic peptide. This information is considered to be commercially sensitive.
The protein encoded by this gene is found in the cytoplasm of quiescent cells but translocates to the nucleolus in proliferating cells. The encoded protein interacts with survival motor neuron protein (SMN1) to enhance pre-mRNA splicing and to induce neuronal differentiation and axonal growth. Defects in this gene or the SMN1 gene can cause spinal muscular atrophy. Two transcript variants encoding different isoforms have been found for this gene.
Purification Method
Affinity purification
Gene ID
8882
Buffer Information
Store at -20℃. Avoid freeze / thaw cycles. Buffer: PBS containing 50% glycerol and 0.05% BSA, preserved with proclin300 or sodium azide, pH 7.3.
Western blot analysis of lysates from Mouse brain, using ZNF259 Rabbit mAb (CAB1487) at 1:1000 dilution. Secondary antibody: HRP-conjugated Goat anti-Rabbit IgG (H+L) (CABS014) at 1:10000 dilution. Lysates/proteins: 25μg per lane. Blocking buffer: 3% nonfat dry milk in TBST. Detection: ECL Basic Kit (AbGn00020). Exposure time: 90s.
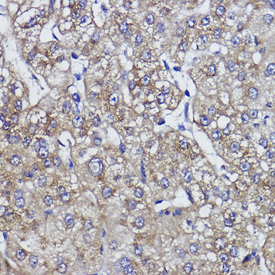
Immunohistochemistry analysis of paraffin-embedded Human liver cancer using ZNF259 Rabbit mAb (CAB1487) at dilution of 1:100 (40x lens). High pressure antigen retrieval performed with 0.01M Citrate buffer (pH 6.0) prior to IHC staining.